Please enable JS

Soluções diferentes para o mesmo animal

Soluções diferentes para o mesmo animal

26 de Junho de 2020

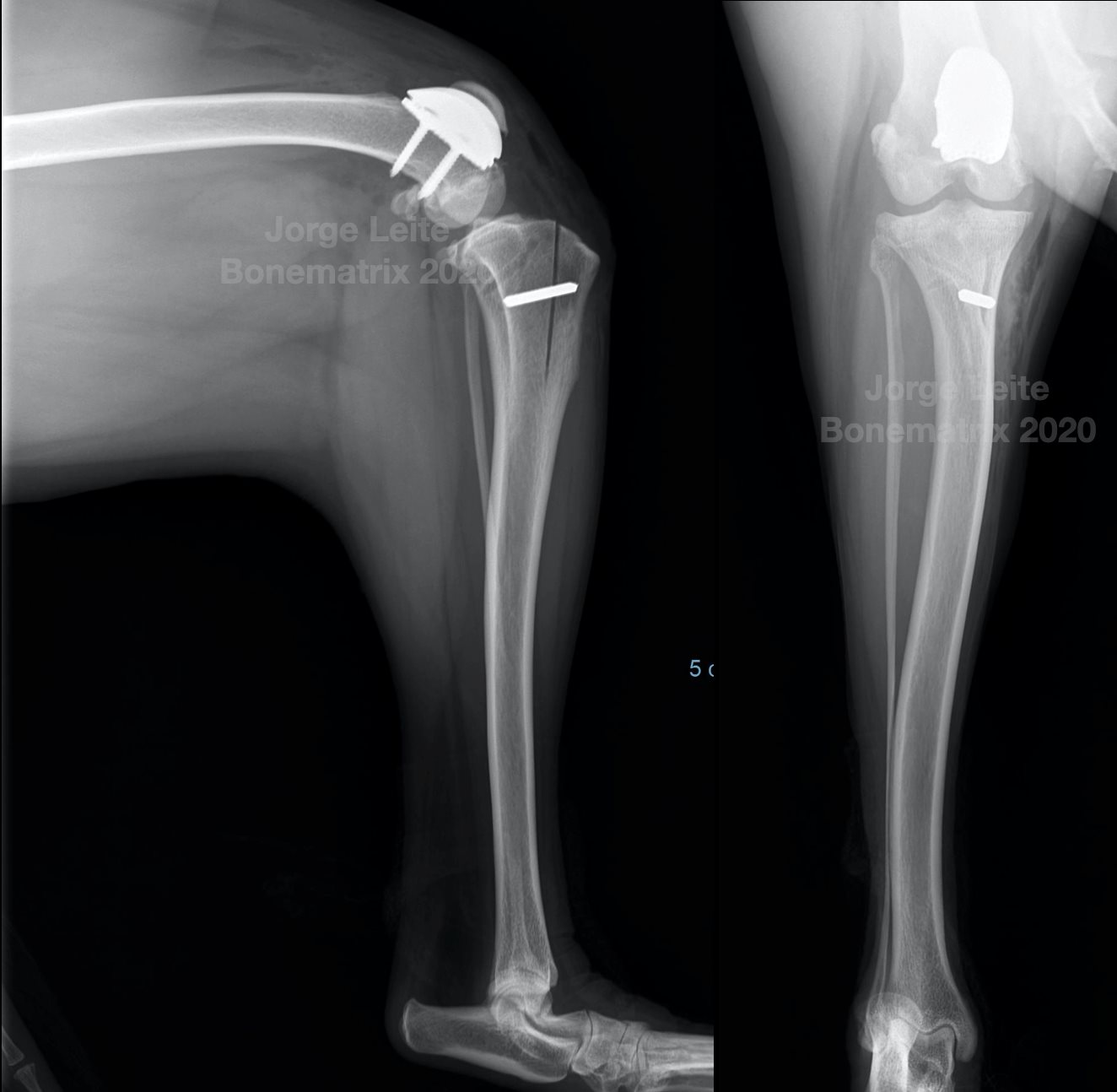
Mesmo cão, necessidades diferentes para tratamento de luxação medial de patela nos dois joelhos. 

Esta semana fizemos o segundo joelho. 

Luxação medial de patela grau II com severo desconforto de joelho devido a erosão de cartilagem e osteoartrite. 

Este paciente foi tratado à 2 anos ao membro contra-lateral com DFO + TTT (já removeu o espaçador)

Plano cirúrgico: PGR + TTTT

  • 22º de anteversão femoral
  • 99º de aLDFA com severa erosão cartilagínea
  • 10º de torção tibial externa estimada