O Centro de Cirurgia Avançada realiza consultas de especialidade na área de ortopedia veterinária e neurologia veterinária. Esta é uma área desafiante onde a experiência clínica, a formação avançada e os mais modernos meios complementares de diagnósticos fazem a diferença na obtenção de um diagnóstico correcto e uma intervenção terapêutica eficaz.
Dentro da especialidade de ortopedia existem várias patologias que diagnosticamos com frequência.
Aqui poderá encontrar informações relativas a estes diagnósticos assim como os tratamentos que com maior frequência são realizados em cada patologia.
O que é?
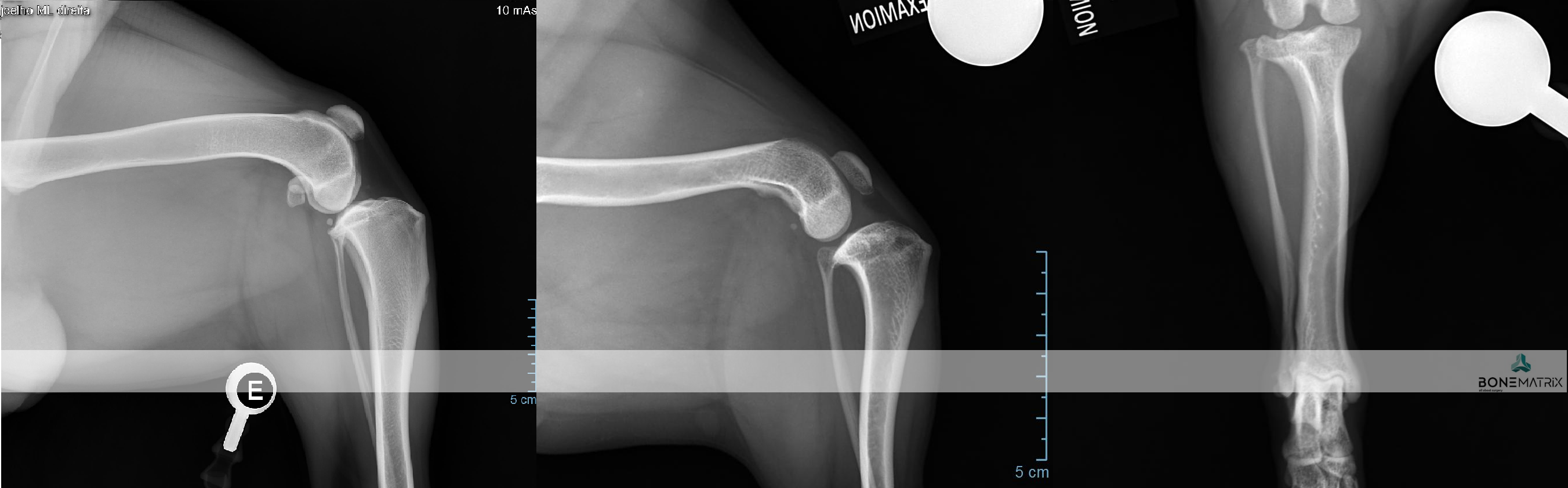
A doença do ligamento cruzado cranial (LCC) é uma patologia degenerativa que pode surgir por influência de fatores genéticos, ambientais ou mecânicos.
O ligamento cruzado cranial é o estabilizador primário do joelho durante o suporte de peso.
É comum a rotura deste ligamento ser uma patologia bilateral (devido à influencia genética) encontrando-se nos dois joelhos mas em estadios diferentes. Por esta razão estudos científicos indicam que 22 a 54% dos cães que apresenta rotura de um LCC diagnosticada irão roturar o contra-lateral em 6 a 17 meses.
Quais as consequências desta patologia a nível articular?
A rotura do ligamento cruzado cranial representa um grande nível de instabilidade e desconforto no joelho do seu animal.
A presença desta patologia pode conduzir ao aparecimento de outras patologias consequentes como, lesão meniscal (presente em 83% dos casos), osteoartrite (lesões osteo-degenerativas articulares) e sinovite (inflamação da articulação).
Esta é uma patologia transitória?
Inicialmente esta patologia está associada a um grande grau de inflamação local e o paciente começa por apresentar uma claudicação severa que pode chegar a supressão de apoio do membro.
Com o desenvolvimento do tempo, caso a instabilidade não seja tratada, a cápsula articular irá sofrer um processo de engrossamento, na tentativa de estabilizar a articulação (algo que conseguirá parcialmente), e como consequência a articulação irá apresentar menor grau de inflamação e o paciente poderá melhorar a sintomatologia apresentada.
Contudo a instabilidade, sempre presente a nível articular, irá levar ao desenvolvimento rápido e severo de lesões de osteoartrite a nível articular, representando a curto/médio prazo um nível de artrose, desconforto e dor que vão influenciar a qualidade de vida do paciente.
Para além deste fator, ao não ser corrigida a instabilidade, aumentará a probabilidade de desenvolvimento de lesões meniscais e de outras componentes articulares.
Predisposição
As raças com maior predisposição para o desenvolvimento de rotura de LCC são Newfoundland, Rottweiller, Labrador Retriever, Bulldog, Boxer, Chow Chow, American Staffordshire terrier, São Bernardo, West Highland White terrier, Golden Retriever e Yorkshire Terrier.
Alguns estudos encontram correlação positiva entre a ocorrência de rotura de LCC e a obesidade, idade do paciente e a realização de OVH/orquiectomia.
Como diagnosticar/ Sinais?
A rotura de ligamento cruzado cranial poderá ser diagnosticada como parcial ou total, sendo uma patologia com desenvolvimento progressivo.
É expectável que as roturas parciais progridam para quadros de rotura total. Estas diferenciam-se pelo grau de instabilidade presente no joelho.
A patologia começa por estar associada a inflamação articular e presença de instabilidade articular (laxitude em determinados movimentos). Quando é detetada inflamação a subsequente rotura ocorre em 85% dos casos. Num quadro parcial apenas parte das fibras constituintes do ligamento estão comprometidas, existindo ainda algum grau de estabilidade promovido pelas fibras integras.
O grau de claudicação do paciente está relacionado com a gravidade da patologia (parcial ou total).
Por norma quando existe rotura total ocorre um grau severo de claudicação frequentemente com supressão do apoio. Outros sinais que podem ser detetados clinicamente são um teste de avanço tibial e de gaveta positivos.
A realização de estudo radiográfico poderá servir de apoio ao diagnóstico clínico, nomeadamente através da deteção de inflamação, lesões de osteoartrite e presença de osteófitos.
Por vezes quando o diagnóstico não é possível de ser confirmado por exame ortopédico/ radiográfico recorre-se a artroscopia para visualização do ligamento em causa. Esta técnica por norma apenas é necessária em alguns casos de rotura parcial do ligamento.

Qual o tratamento indicado?
A recomendação de tratamento é sempre cirúrgica. A técnica mundialmente aceite pela comunidade cientifica como representativa de melhores resultados é a TPLO (tibial plateau levelling osteotomy).
Esta técnica vai permitir estabilizar o joelho e atrasar o desenvolvimento de lesões de osteoartrite que já se tenham iniciado.
O que é?
A luxação de patela é uma patologia de crescimento que consiste na capacidade da patela (rótula) sair do local onde deveria estar anatomicamente colocada, ou seja, no sulco troclear.
Esta luxação ocorre a maioria das vezes para o lado medial do joelho.
O grau de luxação patelar agrava durante o crescimento do animal, sendo esta a razão pela qual a sua correção deve ser realizada o mais cedo possível na vida do animal (4/5 meses).

Porque ocorre luxação de patela?
A luxação da patela tem origem em deformidades angulares presentes ao nível do fémur, da tíbia ou por incompetência da tróclea (porção do fémur onde a patela deveria estar localizada) que se agravam durante o crescimento do animal.
Quais os graus que a patologia de luxação da patela pode apresentar?
A luxação da patela pode apresentar 4 graus.
Quais são as consequências na saúde articular do meu animal?
A luxação de patela é uma patologia que leva ao desenvolvimento de osteoartrite articular e lesões cartilagíneas.
Esta patologia também tem influencia na probabilidade de ocorrência de outras patologias como a rotura de ligamento cruzado cranial.
Predisposição
Todos as raças de cães podem desenvolver esta doença, sendo que ela é mais comum em cães de raça pequena, como o Yorkshire e o Pomeranian. Dentro das raças grandes mais predispostas estão os Labrador e Golden Retrievers, Pitbull, Huskies e Bulldogues.
Os animais que realizam OVH/orquiectomias precocemente também apresentam predisposição para o desenvolvimento desta doença.
Como diagnosticar/ Sinais?
Os animais com luxação de patela podem apresentar-se desde assintomáticos a pacientes com claudicação severa e dificuldade na marcha.
É mais comum o diagnostico desta doença em grau II que em grau III, porque o sinal característico detetado pelos donos na marcha do animal é que este por vezes salta alguns passos. Durante estes o animal não faz apoio do membro e depois volta a andar normalmente (descrição do momento em que a patela sai do sítio e volta a entrar permitindo novamente o uso da articulação de uma forma normal). Por outro lado quando a patela está mais tempo fora da tróclea do que dentro, os animais desenvolvem uma marcha claudicante mas não tem este comportamento tão explicito durante o andamento.
Esta doença apresenta um diagnóstico clínico, ou seja, durante o exame ortopédico do paciente, é testada a capacidade da rótula luxar e mediante o comportamento desta é feito o diagnóstico e a graduação da patologia.
Qual o tratamento indicado?
Apesar do diagnóstico ser clinico, a intervenção cirúrgica para a correção da patologia está dependente da realização de um estudo radiográfico. Neste estudo são medidos vários ângulos, através dos quais se conclui qual/quais os ossos que apresentam deformidade angular que justifica a patologia. Seguidamente o tratamento é dirigido aos achados encontrados no estudo radiográfico.
Em casos onde seja necessária a substituição da componente cartilagínea articular é sugerida a aplicação de um PGR, que consiste num implante de substitui a componente articular do fémur.
O tratamento deverá ser considerado de uma forma global podendo envolver apenas uma das cirurgias referidas ou uma combinação destas.
O que é?
A displasia de cotovelo é uma doença de desenvolvimento caracterizada pela incongruência do cotovelo.
Dada a componente genética, frequentemente envolvida no decorrer deste processo, a patologia apresenta-se por norma bilateralmente, podendo assumir gravidade diferente em ambos os cotovelos.
Esta patologia quando unilateral, por norma, está relacionada com um evento traumático, ocorrido durante o crescimento do animal.
Quais as consequências desta patologia a nível articular?
A displasia de cotovelo pode assumir várias apresentações, entre elas, a não união do processo ancóneo, a fragmentação do processo coronóide, a osteocondrite dissecante, doença do compartimento medial e a incongruência per si.
Todas estas apresentações tem em comum contribuírem para o desenvolvimento acelerado de um quadro de osteoartrite a nível intra-articular.
Como é criada esta incongruência?
A articulação do cotovelo é constituída por 3 ossos, o rádio, a ulna e o úmero.
A incongruência do rádio resulta na apresentação deste osso mais curto que a ulna. Isto resulta num excesso de pressão sobre regiões da ulna - resulta com frequência na fragmentação do processo coronóide.
Quando a apresentação contrária ocorre, ou seja, o rádio apresenta-se mais elevado que a ulna, é exercida demasiada pressão sobre o processo ancóneo - resultando com frequência na não união do processo ancóneo.
Quando a incongruência envolve o úmero outras lesões podem ser desenvolvidas que envolvem o desalinhamento articular entre o úmero e a ulna.
As incongruências descritas também podem ser consequência de um encerramento precoce traumático das placas de crescimento destes ossos (locais responsáveis pelo crescimento longitudinal dos ossos).
Predisposição
Os cães com predisposição para a apresentação desta patologia são os cães de crescimento rápido, ou seja, cães de raça grande a gigante, onde existe com frequência problemas no crescimento harmonioso destes ossos.
Como diagnosticar/ Sinais?
A apresentação desta patologia em fases iniciais apresenta, com frequência, sinais subtis, daí a necessidade de realização de despiste de displasia de anca durante o crescimento do animal (idealmente 5 meses) para que a doença possa ser detetada antes que ocorra um desenvolvimento significativo de lesões de osteoartrite a nível intra-articular.
O diagnóstico pode ser realizado por meio de estudo radiográfico.
Contudo são indicadas técnicas de imagem avançada (tomografia axial computorizada) ou artroscopia para a realização do diagnóstico final e definição de abordagem terapêutica.

Qual o tratamento indicado?
O tratamento depende da forma de apresentação da doença a nível articular.
Vários são os procedimentos terapêuticos que podem ser feitos com recurso a artroscopia, nomeadamente desbridamento de lesões cartilagíneas, remoção de fragmentos do processo coronóide, remoção sub-total do processo coronóide, assim como também é possível a remoção de flaps de lesões de osteocondrite dissecante.
A resolução da incongruência articular é realizada por meio de um corte corretivo realizada na ulna. Este corte vai permitir que este osso se readapte à articulação de forma a que todas as estruturas constituintes da articulação suportem o peso de uma forma equilibrada, sem sobrecarregar nenhuma região. A cirurgia realizada com maior frequência neste sentido designa-se por PLUS.
Também poderá ser considerado em animais adultos com apresentações muito ligeiras da doença, o maneio médico da patologia, onde nada é feito no sentido de corrigir as alterações que estão na origem da doença, mas é administrada medicação anti-inflamatória e analgésica para reduzir dor e desconforto articular.
É esperado desenvolvimento de artrose quando um quadro displásico se encontra presente no cotovelo?
É expectável que se desenvolva sempre algum grau de osteoartrite articular, por norma ligeiro, que poderá manifestar-se unicamente na fase de vida geriátrica do animal. Neste caso o tratamento aconselhado será o maneio médico.
Quando mais cedo forem feitas as intervenções no cotovelo do animal que melhoram a sua congruência, menor vai ser o quadro de osteoartrite instalado na articulação. A osteoartrite uma vez presente, não desaparece, por isso o resultado de todas estas intervenções relativamente a esta patologia é no sentido de “travar” a progressão da doença.
O que é?
Esta é uma patologia que acomete com frequência cães com desenvolvimento de displasia de cotovelo, apesar de também poder ser provocada por trauma (saltos) ou uma atividade que sobrecarregue esta região do cotovelo (cães de agilidade).
Trata-se da fratura de uma protuberância óssea ao nível do osso da ulna, na região articular do cotovelo.
Este fragmento poderá encontrar-se solto na articulação ou manter a sua localização mas em qualquer uma das situações será responsável por dor/desconforto do paciente.
Quais as consequências desta patologia a nível articular?
Esta patologia poderá ser responsável por um momento de agudização do quadro de dor articular do paciente. A presença deste fragmento dentro da articulação provocará um quadro de dor crónica que também está associado ao desenvolvimento de lesões de osteoartrite intra-articulares, podendo limitar com maior ou menor gravidade e num espaço de tempo que poderá ser mais ou menos curto, a qualidade de vida do animal.
Predisposição
A predisposição segue aquela encontrada em animais que tem tendência para o desenvolvimento de displasia do cotovelo, sendo estes cães de porte grande a gigante como o Labrador Retriever e cães de montanha, assim como raças competidoras em concursos de agility, como o Border Collie.
Como diagnosticar/ Sinais?
O diagnóstico é idealmente feito por meio de artroscopia ou tomografia axial computorizada.
O estudo radiográfico por vezes também poderá dar informação irrefutável relativamente à integridade deste processo mas em bastantes casos é um estudo de imagem inconclusivo, que precisa de posterior recurso a técnicas de imagem avançada ou artroscopia diagnóstica.
Entre os sinais que nos levam a suspeitar da presença desta patologia estão a claudicação que pode variar em severidade conforme esta seja a apresentação única ou apenas parte das alterações decorrentes de um processo de displasia de cotovelo.
O teste de Campbell realizado durante a examinação clínica do seu animal também é altamente sugestivo da presença desta patologia.
Outros sinais poderão estar presentes como a inflamação da articulação e restrição da capacidade de amplitude do movimento articular.

Qual o tratamento indicado?
A artroscopia é o tratamento de eleição para a remoção deste processo fraturado visto que apresenta um bom prognóstico e uma baixa invasividade associada ao procedimento.
Outras abordagens como a artrotomia podem ser consideradas mas apresenta a desvantagem de estar associada a uma maior morbilidade pós-cirurgica constituindo um processo mais traumático.
O que é?
Esta doença é caracterizada pela falha na ossificação de uma placa de crescimento do osso da ulna.
Esta doença surge com frequência associada a quadros de displasia do cotovelo.
A não união do processo ancóneo surge concomitantemente com doença do compartimento medial em 16% dos casos.
Predisposição
Qualquer cão de raça grande a gigante está predisposto ao desenvolvimento desta patologia, especialmente, Pastor Alemão, cães de montanha e Mastiffs. Não obstante esta doença já foi também diagnosticada em Bulldogue Francês e Bassets.
Como diagnosticar/ Sinais?
O diagnóstico é por norma estabelecido por meio de estudo radiográfico. Contudo a intervenção terapêutica adequada depende das patologias concorrentes presentes por isso o estudo de imagem avançado (TAC) também é aconselhado.
Os animais que apenas apresentam esta doença unilateralmente com frequência apresentam sinais antes do fim do processo de crescimento. Quando a patologia é bilateral (20-25% dos casos) a claudicação pode passar despercebida durante mais tempo, até ao ponto em que existam lesões osteodegenerativas significativas na articulação.
Para além da claudicação, os sinais que o animal apresentam com maior frequência são dor na realização de alguns movimentos articulares e edema da articulação.

Qual o tratamento indicado?
Existem várias técnicas de tratamento cirúrgico descritas, entre elas estão, procedimento onde é feito um corte na ulna para que esta se possa recolocar na articulação de uma forma mais congruente, fixação com recurso a parafusos ou remoção do processo ancóneo.
O tratamento correto para o animal depende do quadro global de displasia de cotovelo apresentado.
O que é?
Doença presente na articulação do cotovelo, normalmente consequente de um quadro de displasia de cotovelo.
Esta associada com frequência a fragmentação do processo coronóide.
Esta doença é caracterizada por uma apresentação disseminada de lesões cartilagíneas e do osso subcondral, dentro da articulação, mais exuberantes a nível medial (no lado de dentro do cotovelo).
Predisposição
As raças predispostas para desenvolvimento de doença do compartimento medial são os Labrador Retrievers e os cães de montanha. Contudo esta doença também já foi reportada em Bulldogue francês e Basset.
Como diagnosticar/ Sinais?
Esta é uma doença de desenvolvimento que pode estar presente desde a fase imatura da vida do animal e apenas apresentar sinais mais tarde na vida desde, devido ao processo de osteoartrite secundário.
Os sinais normalmente apresentados são claudicação, edema articular e diminuição da capacidade de movimento do membro.
Com frequência, na tentativa de se colocarem em posições menos dolorosas, estes pacientes apresentam-se com uma posição arqueada dos membros anteriores.
O diagnóstico pode ser suspeito clinicamente através da dor em determinados movimentos provocados na articulação e na existência de um teste de Campbell positivo (teste realizado no exame ortopédico em consulta especifico para apresentações de patologia de cotovelo).
O diagnóstico por norma só consegue ser estabelecido com recurso a métodos de imagem avançada (TAC) e/ou por meio de artroscopia (se apenas lesões cartilagíneas estiverem presentes).
Lesões que normalmente surgem concorrentes no desenvolvimento desta patologia, como a osteoartrite, poderão ser detetadas durante o estudo radiográfico.

Qual o tratamento indicado?
A artroscopia é o tratamento de eleição. Nesta realiza-se o desbridamento das lesões cartilagíneas o que contribui para a melhoria do quadro de dor intra-articular apresentado pelo paciente.
Outros tratamento podem ser considerados quando o maneio médico falha, entre estes estão injeções intra-articulares com medicação analgésica, resurfacing do cotovelo (procedimento onde se preenche defeitos cartilagíneos significativos com um material implantado) e procedimentos de transferência de cargas (PAUL) para regiões da articulação não afetadas pela doença.
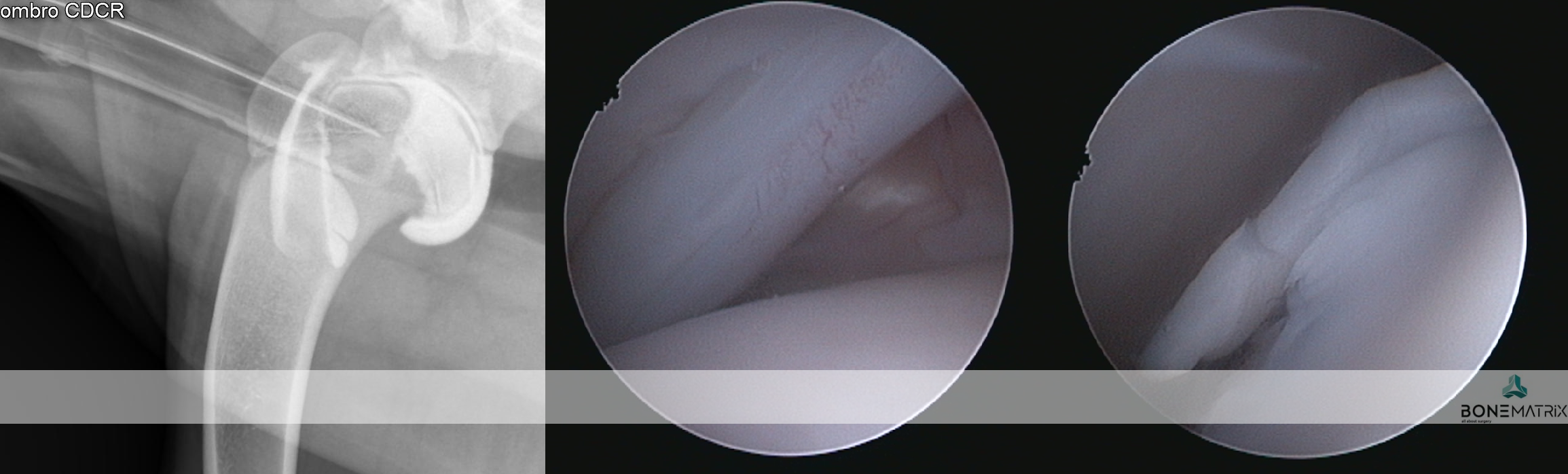
O que é?
A osteocondrite dissecante é uma condição que surge durante o crescimento devido a um distúrbio na diferenciação das células de cartilagem, o que resulta numa falha na ossificação endocondral (processo fundamental do desenvolvimento esquelético do feto e do cachorro em crescimento). Este defeito no crescimento resulta no aparecimento de um defeito ósseo tipicamente apresentado na cabeça do úmero, da qual se destaca um “flap” de cartilagem.
Quais as causas da OCD?
A genética é o fator de maior peso no aparecimento da OCD no ombro, bem como noutras articulações. Existem várias raças especialmente predispostas onde esta doença é mais comum, nomeadamente as de porte médio e grande. Algumas das raças mais afetadas são o Golden Retriever, Pastor Alemão, Bouvier de Berna, Rotweiller, Dogue Alemão, São Bernando, entre outras raças grandes a gigantes, embora com alguma frequência surja em Border Collie, Husky, Chow Chow ou outros cães de porte médio.
Como é feito o diagnóstico de OCD?
A suspeita surge quando se deteta claudicação, dor e desconforto no ombro, entre os 6 e 10 meses de idade. Alguns pacientes podem passar assintomáticos durante os primeiros anos, e mostrar desconforto numa fase mais avançada da doença e da idade. Após exame ortopédico, o diagnóstico é geralmente confirmado com um estudo radiográfico.
Situações mais subtis podem carecer de confirmação com estudo de TAC ou artrografia (radiografia com contraste articular).
O meu cão vai ficar com artrose no ombro?
Assim que se estabelece, a OCD dá lugar ao aparecimento de osteoartrite. Esta condição é progressiva e não tem cura, podendo no entanto ser gerida eficazmente com o apoio próximo do seu médico veterinário.
Quais os tratamentos disponíveis para OCD do ombro?
A artroscopia é o tratamento “gold standard” da OCD. Neste procedimento minimamente invasivo, são efetuados pequenos orifícios (2.4mm) através dos quais são introduzidas uma câmara de filmar e instrumentos apropriados. O “flap” articular é removido desta forma, sem necessidade de recorrer a uma abertura cirúrgica da articulação. Este processo de tratamento garante uma recuperação rápida e confortável.
É utilizado Synacart em casos onde a lesão osteocondral é muito extensa e a simples remoção do “flap” pode revelar-se insuficiente. Nestes casos podemos optar por uma técnica de “ressurfacing” que tem como objetivo cobrir o defeito ósseo com um implante Synacart ou um implante especialmente desenhado para o efeito. Estes implantes têm uma porção metálica porosa que integra no osso subcondral e uma superfície de polímero polido que mimetiza a superfície de cartilagem perdida.

Existem complicações cirúrgicas?
As complicações no tratamento artroscópio são mesmo muito invulgares (menos de 2%), sendo geralmente apenas detetados problemas ligeiros e transitórios como edema e inflamação. As infeções, complicações anestésicas ou neurológicas são extremamente raras.
Qual o prognóstico para o tratamento de OCD do ombro?
O prognóstico do tratamento artroscópico é geralmente excelente, com os sintomas a desaparecerem por completo dentro dos primeiros 30 a 60 dias após cirurgia. Será expectável uma lenta evolução do quadro de osteoartrite que, após uma vida ativa, pode dar alguns sinais numa fase mais adiantada da vida do seu animal.
O que é?
A displasia de anca é uma patologia de desenvolvimento expressa na articulação coxo-femoral (entre o fémur e a pélvis). Esta é a doença ortopédica mais comum nos cães.
A sua origem é maioritariamente genética, podendo por vezes apresentar também uma influencia ambiental.
Como se desenvolve a doença de displasia de anca?
Inicialmente existe uma laxitude dos tecidos moles (capsula articular e musculatura envolvente) que permite juntamente com uma má cobertura da cabeça femoral pela componente óssea da pélvis (acetábulo). Estes fatores em conjunto levam à possibilidade de um movimento excessivo entre os componentes desta articulação, o que faz com que seja possível luxar cabeça femoral.
Esta luxação ocorrendo repetidamente leva ao desenvolvimento de alterações ósseas de ambas as componentes articulares que contribuem para a exacerbação da capacidade de luxação. Entrando assim num ciclo a capacidade de luxação leva a alterações articulares que permitem cada vez mais a luxação da articulação.
Esta movimentação dentro da articulação eventualmente leva ao desenvolvimento de um quadro de osteoartrite que conforme a severidade da doença se poderá apresentar também este com uma severidade correspondente.
Quais são as consequências na saúde articular do meu animal?
O paciente irá desenvolver um quadro de osteoartrite articular que consoante a gravidade apresentada influencia a qualidade de vida do animal e capacidade deste se movimentar.
Predisposição
Qualquer raça pode apresentar displasia de anca, contudo algumas são mais predispostas, nomeadamente as raças de porte grande a gigante, como Pastor Alemão, Newfoundland, raças Retriever e Rottweiller.
Como diagnosticar/ Sinais?
O diagnóstico de displasia de anca deve ser realizado idealmente antes dos 5 meses, daí a importância do despiste precoce da doença.
Uma vez que este seja detetado cedo na vida do animal poderão ser consideradas opções de tratamento preventivo. Na maioria destes casos os animais apenas apresentam laxitude articular, sendo com frequência assintomáticos clinicamente. Por este motivo a intervenção cirúrgica nestas idades impede que um animal que iria desenvolver a doença a desenvolva efetivamente ou então que desenvolva apenas um quadro de osteoartrite muito ligeiro, que possa ser gerido medicamente numa idade geriátrica.
O diagnóstico é feito com recurso a um estudo radiográfico de despiste de displasia de anca (este estudo pode ser realizado a partir dos 4 meses).
Com o decorrer da doença os animais podem apresentar sintomatologia associada que nos leva à suspeita do diagnostico, nomeadamente, claudicação, incapacidade de fazer determinados movimentos, incapacidade de realizar saltos, início de marcha "à coelho", dor articular, teste de Ortolani e Barden positivos (avaliações especificas de exame ortopédico direcionadas para esta doença).

Qual o tratamento indicado?
O tratamento indicado depende da idade do paciente e das características estudadas da articulação.
Quando a idade do paciente o permite e este se revela um bom candidato, pode em idade imatura, ser realizada uma DPO (double pelvic osteotomy), sendo este um procedimento preventivo do desenvolvimento de displasia de anca.
Quando o animal é adulto a única opção de tratamento curativa passa pela prótese total de anca (THR). Esta permite substituir a articulação afetada na sua totalidade e devolver a qualidade de vida ao paciente até ao fim da vida dele.
Em pacientes adultos, onde não se prevê um agravamento do quadro para além de ligeiro poderá ser ponderado o tratamento médico, onde na realidade não se está a praticar nenhum processo curativo, mas sim um mascarar de dor/desconforto ligeiro com recurso a medicação anti-inflamatória/analgésica.
É esperado desenvolvimento de artrose quando um quadro displásico se encontra presente na anca?
Caso um processo de osteoartrite já se tenha iniciado a nível articular é expectável que o paciente o mantenha.
Mesmo que intervenções preventivas tenham sido realizadas é comum que sejam desenvolvidos quadros de osteoartrite ligeira que poderão passar assintomáticos toda a vida do animal ou apresentar um grau ligeiro que consiga ser gerido medicamente na fase geriátrica do paciente.
O que é?
As deformidades angulares são patologia que podem assumir as mais variadas apresentações.
A sua origem pode estar relacionada com fatores genéticos, traumas sofridos durante a imaturidade do animal, pode apresentar-se como uma doença de desenvolvimento e pode também ter influências ambientais ou nutricionais.
Todas elas se caracterizam-se por um desvio na correta forma de um determinado osso ou membro.

Que consequências podem surgir da apresentação de uma deformidade angular?
As consequências da apresentação de deformidades angulares estão em muito relacionadas com a localização destas e com a exuberância da apresentação.
Estes desvios da conformação normal podem provocar desde osteoartrite articular ou laxitude dos mecanismos de estabilização de articulações até incapacidade na realização da marcha do animal afetando severamente a qualidade de vida deste.
Predisposição
O apuramento de raças torna a ocorrência deste tipo de patologia possível em quaisquer cães/gatos.
Os cães condrodistróficos são apurados no sentido de apresentarem este tipo de patologias, contudo a descompensação de estruturas articulares devido à presença desta anatomia, não se revela com maior prevalência nestas raças por comparação com outras.
Como diagnosticar/ Sinais?
O diagnóstico é realizado por meio de análise clinica da anatomia dos membros e é estudada por norma através da realização de um estudo radiográfico.
O animal poderá ser desde assintomático a apresentar sintomas que passam por claudicação, lesões em estruturas articulares consequentes destes desvios angulares, incapacidade na realização de determinados movimentos até incapacidades severas de mobilidade.
A realização de um estudo radiográfico é imprescindível para definição de um planeamento cirúrgico de correção.
Em casos mais complexos pode ser necessário o recurso a estudos de imagem avançada, tanto para o estudo da deformidade como para a produção de instrumentos de cirurgia (guias de corte 3D, produção de placas com customizadas) para que seja realizada a cirurgia com precisão.
Qual o tratamento indicado?
O tratamento depende sempre da forma da patologia apresentada.
Por norma envolve realização de cortes ósseos, definidos com determinada angulação para que seja corrigida a deformidade angular, com subsequente estabilização da fratura induzida com a utilização de placas e parafusos bloqueados (sistema que oferece a maior segurança para a estabilização de fraturas).
No centro de cirurgia veterinária avançada dispomos de um serviço de especialidade de neurologia.
Aqui poderá encontrar algumas informações relativas ao diagnóstico e tratamentos aplicados nas patologias que com maior frequência afectam os nossos pacientes.
O que é?
A doença de disco degenerativa é a patologia neurológica mais comum em cães.
A presença desta doença sem herniação não é problemática podendo constituir apenas uma achado de exames de imagem. Só existe indicação de tratamento se esta estiver associada a hérnia discal sintomática.
As hérnias discais caracterizam-se pela perda de integridade de um disco intervertebral que por consequência ocupa um espaço dentro do canal vertebral comprimindo a medula espinal e respetivas raízes nervosas.
Que tipos de hérnias existem?
As hérnias podem assumir 3 formas:
Predisposição
As hérnias Hansen tipo I são maioritariamente associadas a cães jovens de raças condrodistróficas.
As hérnias Hansen tipo II, por serem muitas vezes resultado de um processo degenerativo de envelhecimento são mais encontradas em animais de meia idade.
Apesar disto qualquer hérnia pode acontecer em qualquer cão.
Como diagnosticar/Sinais?
Os sinais apresentados pelo animal são sempre de défice neurológico. Este défice podem envolver (por ordem crescente de gravidade) a capacidade propriocetiva (capacidade do animal entender a sua localização espacial), capacidade motora (pode ir desde um quadro de fraqueza até à incapacidade do animal apresentar mobilidade dos membros) e por ultimo capacidade sensitiva (pode apenas não apresentar sensibilidade superficial ou apresentar falta de capacidade sensitiva profunda).
Mediante o exame neurológico e tipo de sinais apresentados podemos localizar a lesão dentro de um segmento medular.
Com a suspeita do segmento em causa, o paciente é encaminhado para exames de imagem avançada onde será confirmada a presença de hérnia e onde as suas características serão detalhadas para podermos seguir para cirurgia com todas as informações necessárias.

Qual o tratamento indicado?
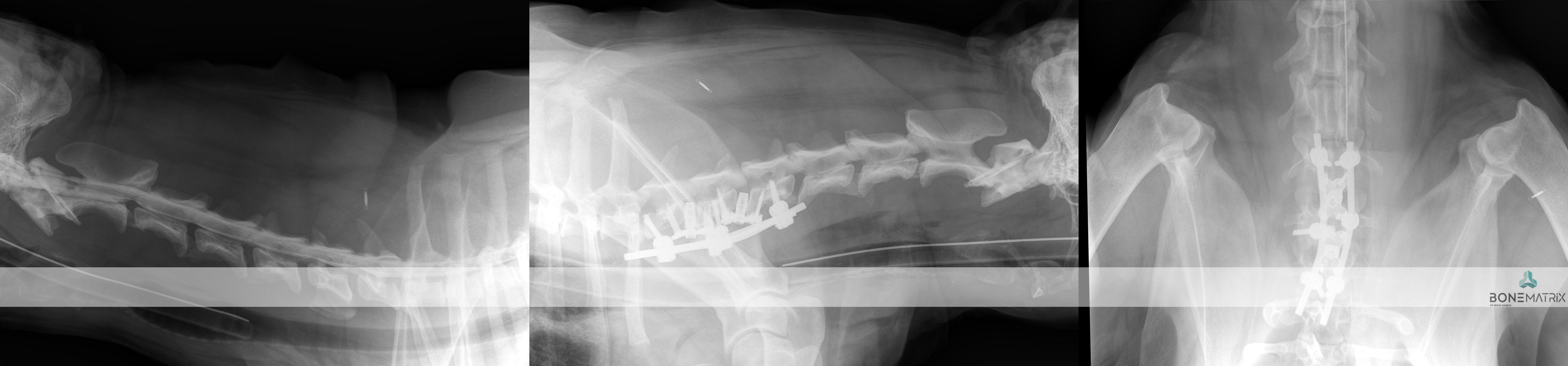
O tratamento indicado será uma cirurgia descompressiva da espinal medula. Esta técnica varia de designação consoante a abordagem que é realizada e o segmento em que está localizada, podendo ser ventral slot, hemilaminectomia ou laminectomia dorsal.
Em alguns casos crónicos onde a intervenção cirúrgica não é aconselhada poderá ser feito o maneio médico do problema (com recurso a fármacos que atuam sobre dor de origem neurológica).
Qual o prognóstico da cirurgia?
O prognóstico é dependente da condição neurológica pré operatória do paciente.
Se o paciente apresentar sensibilidade nos membros afetados anteriormente à cirurgia, a taxa de sucesso relativamente à capacidade ambulatória do animal após cirurgia é de 90%. A velocidade com que os cães recuperam a capacidade ambulatória varia de animal para animal.
A maioria dos animais submetidos a este procedimento, 3 a 6 semanas após cirurgia já apresenta capacidade de andar. Contudo existem alguns casos onde a melhoria da componente neurológica do animal não é visível imediatamente mas passado um mês ocorre uma melhoria bastante rápida. A capacidade de recuperação das funções neurológicas ocorre de forma continua até aos 6 a 9 meses após cirurgia. Passado este período, o status neurológico alcançado corresponde à capacidade máxima de recuperação neurológica do paciente.
Os animais que não apresentam sensibilidade profunda nos membros apresentam um prognóstico mais pobre, sendo possível que não recuperem a capacidade ambulatória. Contudo os animais sem sensibilidade que são submetidos a cirurgia nas 12H após a perda de sensibilidade têm 50 a 75% de hipóteses de recuperar a mobilidade.
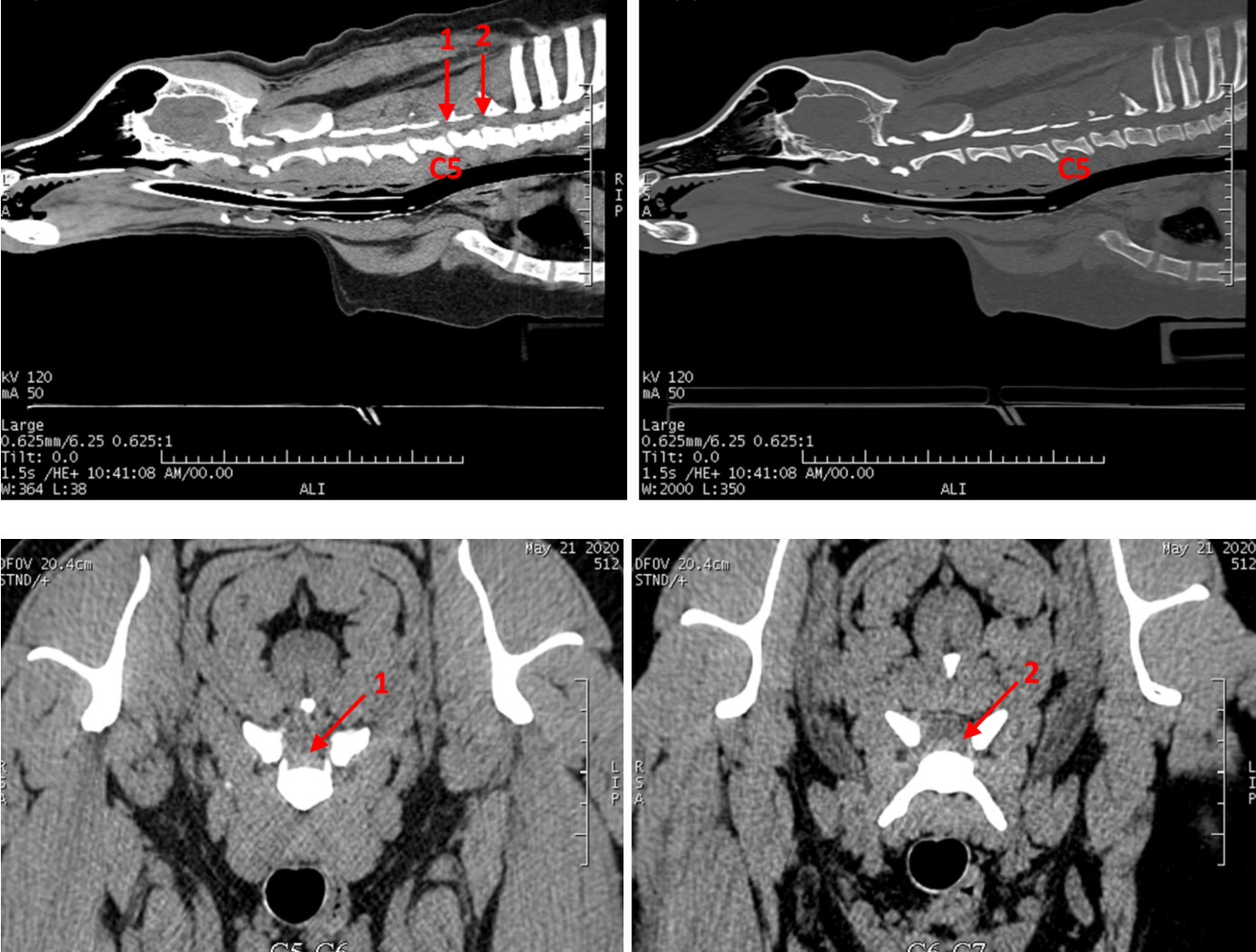
O que é?
O síndrome de Wobbler também designado por espondilomielopatia cervical é uma causa comum de patologia compressiva de medula em cães de raça grande a gigante.
Em qualquer uma das apresentações da doença existe um efeito compressivo sobre a medula espinal localizado nas vertebras cervicais.
Que apresentações pode assumir esta doença?
O síndrome de Wobbler pode ter uma apresentação onde a compressão é consequência de uma proliferação óssea a nível das vertebras e outra onde o efeito compressivo advém dos discos intervertebrais.
Predisposição
A predisposição está associada a cães de raça grande a gigante, como o Dogue alemão, contudo a sua prevalência também se encontra associada a cães de raça pinscher dobermann, de meia idade.
Como diagnosticar/ Sinais?
Os pacientes que sofrem desta patologia costumam apresentar um quadro crónico progressivo (ao longo de semanas a meses).
Entre os sinais que podem ser exibidos pelo animal estão a hipersensibilidade cervical, a falta de força nos membros, algum grau de claudicação que pode estar associada também com ataxia propriocetiva (hesitação em determinados movimentos por falta de capacidade em perceber a localização do corpo).
Normalmente os sinais são simétricos (apresentados na mesma medida no lado direito e esquerdo do corpo) contudo existem quadros de apresentação assimétrica também.
O diagnóstico é realizado com base em técnicas de imagem avançada (TAC ou RM).

Qual o tratamento indicado?
O tratamento aconselhado para a resolução destes casos é a descompressão medular por meio da realização de uma técnica cirúrgica denominada por Ventral Slot.
O que é?
O síndrome de cauda equina também designado por estenose degenerativa lombo-sagrada é uma apresentação patológica localizada entre L7 e o sacro que pode envolver vários problemas como herniação discal, subluxação de S1, anomalias vertebrais ou sacrais e compromisso vascular
Predisposição
Esta patologia é comum em cães de porte médio a grande, com especial incidência sobre o Pastor Alemão.
Como se diagnostica/sinais?
Os sinais que nos levam a suspeitar desta doença são dor na região lombo-sacra, claudicação, presença de défices neurológicos motores, incontinência urinária/fecal e perda de força na cauda.
O paciente poderá apresentar quadros com diferentes gravidade, sendo os sinais clínicos desde subtis a muito evidentes.
O diagnóstico é feito por meio de estudo radiográfico, onde são detetadas lesões ósseas compatíveis com a patologia referida.
Após realização de estudo radiográfico o paciente será submetido a um estudo de imagem avançada (TAC ou ressonância) para compressão do grau de compressão medular existente.

Qual o tratamento indicado?
Os quadros ligeiros podem ser tratados de forma conservativa onde é aconselhado o repouso em jaula durante um período de 2 a 6 semanas e é dado suporte farmacológico para maneio de dor.
Caso o paciente apresente um quadro sintomatológico refratário ao tratamento conservativo ou com um grau de compressão significativo a nível medular é realizado tratamento cirúrgico. O tratamento cirúrgico consiste na laminectomia dorsal para descompressão da medula espinal podendo ser associado (conforme a apresentação da doença) a fusão vertebral entre L7 e S1.
O que é?
Esta patologia caracteriza um quadro de subluxação atlanto-axial (entre as vertebras C1 e C2). Nesta patologia existe um fenómeno de compressão medular provocado pela incapacidade destas vertebras articularem normalmente.

Quais podem ser as causas de instabilidade atlanto-axial?
Esta doença envolve por norma uma de quatro apresentações possíveis.
Predisposição
Esta patologia tem predisposição em raças pequenas e animais jovens. Quando a sua origem é traumática pode acometer qualquer animal em qualquer idade.
Como diagnosticar/sinais?
Normalmente estes pacientes apresentam algum grau de dor cervical, que poderá agudizar após saltos ou traumas que não justificariam de outra forma o grau de dor.
Também existem outros sinais que poderão estar envolvidos desde défices propriocetivos (incapacidade de localizar o seu corpo no espaço) até perda de força ou mobilidade nos membros.
Dada a localização da lesão, em quadros mais severos, os animais podem apresentar-se dispneicos (dificuldade respiratória) ou com sinais vestibulares.
O diagnóstico poderá ser confirmado por estudo radiográfico contudo este deve ser realizado com especial cuidado porque poderá colocar em risco o paciente, dado o posicionamento necessário.
Outras técnicas de diagnóstico de imagem poderão ser utilizadas e por norma após confirmação por estudo radiográfico é requerido também um exame complementar de imagem avançada (TAC ou RM) antes de avançar para cirurgia.
Qual o tratamento indicado?
O único tratamento possível é cirúrgico. Nesta cirurgia é realizada a fusão vertebral entre C1 e C2, resolvendo assim o seu problema de instabilidade primário. Nesta cirurgia as vertebras em causa são preparadas para serem estabilizadas de forma a que no pós cirúrgico exista uma união entre ambas formando uma única coluna óssea e estabilizando por consequência este segmento.
Qual o risco que o meu animal corre se esta cirurgia não for realizada?
O paciente poderá passar toda a sua vida sem consequências de maior gravidade devido a presença desta patologia. Contudo este estará permanentemente sobre o risco de em algum movimento, estas vertebras luxarem o que poderá constituir uma agressão para a medula espinal com recuperação imprevisível.
No centro de cirurgia veterinária avançada trabalhamos diariamente na realização de cirurgia ortopédica veterinária.
As cirurgias realizadas no nosso centro, por norma, apresentam um grau de complexidade superior. Para a realização destas cirurgias recorremos a uma variedade de equipamentos topo de gama que nos permitem realizar de uma forma segura e precisa intervenções com este grau de exigência.
Aqui poderá encontrar algumas das cirurgias que fazemos com maior frequência.
O que é?
A artroscopia é um procedimento que pode ser utilizado como técnica diagnóstica e terapêutica.
A técnica consiste na abertura de dois a três pórticos de trabalho (orifícios de 1.9 a 2.4mm), através das quais são colocados:
- Uma câmara magnificadora que nos permite visualizar com elevado detalhe o aspeto do interior da articulação, nomeadamente a saúde da cartilagem, ligamentos e capsula articular;
- Instrumentos cirúrgicos necessários para a execução dos tratamentos das lesões identificadas.
Este procedimento é minimamente invasivo o que permite fazer intervenções cirúrgicas com uma morbilidade mínima. Por esta razão os pacientes apresentem menos dor no pós-operatório, maior amplitude de movimento e um retorno à função normal do membro que é quase imediata. Pelo facto de ser pouco invasiva, podemos com segurança operar mais que uma articulação no mesmo ato cirúrgico. Em alguns casos, a artroscopia está também associada a uma maior rapidez do procedimento, permitindo um menor tempo anestésico.
Quais as aplicações da artroscopia?
São várias as abordagens terapêuticas que podem ser feitas através deste procedimento. Entre estas estão, a remoção de “flaps” em lesões de OCD, remoções de partes danificadas de menisco, remoção de fragmentos de processo coronóide ou mesmo a remoção subtotal do processo coronóide (cotovelo).
Entre as abordagens diagnósticas podemos incluir procedimentos como deteção de rotura parcial de ligamento cruzado cranial (joelho), lesão do tendão bicipital (ombro), identificação de lesões de OCD e visualização de diferentes graus de degeneração articular.

Que complicações podem surgir após uma artroscopia?
Como recupera o meu animal após uma artroscopia?
Apenas serão visíveis 2 ou 3 pontos cutâneos na articulação, não sendo colocado qualquer penso ou tala. Uma vez que o procedimento é mesmo pouco invasivo, ainda que sejam operadas duas, ou mesmo três articulações no mesmo procedimento, o seu animal será capaz de usar os membros confortavelmente, caminhado sensivelmente da mesma forma que chegou até nós. Consoante o caso, as vantagens do procedimentos artroscópico podem ser apreciadas nos primeiros dias/semanas após a intervenção.
O que é?
A TPLO é a técnica universalmente aceite na comunidade cientifica como sendo a opção terapêutica que garante melhores resultados no tratamento da rotura de ligamento cruzado cranial. Ainda assim, existem casos onde outras técnicas possam ser mais vantajosas pelo que o domínio de várias técnicas cirúrgicas representa uma vantagem determinante na seleção da melhor opção para tratar o seu animal.
A TPLO tem como objetivo alterar a forma como as cargas atravessam o joelho, para que se consiga um equilíbrio de forças que restaura a estabilidade articular. Desta forma não se tenta reparar o ligamento cruzado danificado, mas sim conseguir uma estabilidade dinâmica que torne desnecessária a existência de um ligamento cruzado íntegro.
Esta alteração acontece após um corte circular controlado no qual o fragmento criado é rodado e estabilizado na nova posição com recurso a implantes (placa e parafusos bloqueados).

Quais das vantagens da TPLO sobre outras técnicas cirúrgicas?
Em estudo comparativos entre a técnica de resolução de patologia de rotura do ligamento cruzado cranial foi provado existir uma maior aplicação de força sobre o membro intervencionado, uma maior satisfação do cliente e uma melhor função do membro, quando utilizada a técnica de TPLO.
Este estudo também demonstra que quando aplicada a técnica de TPLO a função do membro após um ano é indistinguível do grupo de controlo (onde o ligamento não tem lesão).
O desenvolvimento de osteoartrite também é um fator bastante relevante para avaliação do outcome destas técnicas, pois esta doença provoca o desenvolvimento de dor crónica articular que poderá ter um caracter limitante na qualidade de vida do animal. Estudos indicam que existe uma menor progressão de osteoartrite quando a TPLO é aplicada, em comparação com outras técnicas.
Quando deve o meu cão ser operado?
Esta cirurgia, não tendo caracter urgente, deverá ser realizada o mais rápido possível após a rotura de ligamento cruzado. Isto porque a criação de instabilidade dentro do joelho irá dar origem ao inicio do desenvolvimento de osteoartrite (doença que conseguimos travar com a realização da cirurgia mas que uma vez iniciada terá sempre um processo de agravamento que poderá ser mais ou menos lento conforme a retoma da estabilidade intra-articular). A existência de rotura de ligamento cruzado também aumenta consideravelmente a possibilidade de desenvolvimento de lesões meniscais, fruto da instabilidade articular. As lesões meniscais são resolvidas cirurgicamente através da remoção da parte de menisco que está afetada. Contudo esta remoção não é ideal porque irá desequilibrar os mecanismos de absorção de forças dentro do joelho.
A rotura parcial do ligamento cruzado também pode ser tratada com TPLO?
Sim, o diagnóstico de rotura de ligamento cruzado cranial, quando em estado parcial, é o momento ideal de aplicação da técnica de TPLO, pois conseguimos aplicar o tratamento antes que exista uma instabilidade evidente dentro do joelho.
A aplicação da técnica neste momento irá reduzir a possibilidade de complicações como a lesão meniscal tardia ou o desenvolvimento de osteoartrite intra-articular.
Uma vez que a rotura de ligamentos seja diagnosticada como parcial, será uma questão de tempo até esta se tornar total, não existindo capacidade deste tecido recuperar das lesões sofridas, tendendo sempre o processo para o quadro de rotura total.
Porque em alguns casos de rotura parcial, o diagnóstico da lesão (dada a instabilidade menor intra-articular) não é tão explicito clinicamente ou radiograficamente, a confirmação deste diagnóstico é realizada por via artroscópica (com a visualização direta do ligamento).
Qual a taxa de sucesso esperada?
Esta cirurgia tem uma taxa estudada de sucesso de 95% dos casos.
A execução precisa da técnica de TPLO influencia a eficiência do procedimento e o acometimento de complicações cirúrgicas.
Podem ser operados dois joelhos no mesmo dia?
Este procedimento poderá ser efetuado em ambos os joelhos, sem comprometer a segurança do procedimento, em animais leves. A partir daí será considerado de acordo com o grau de atividade do animal.
Que complicações podem surgir?
O que é?
DFO (distal femoral osteotomy) é um procedimento realizado como parte integrante ou abordagem única à patologia de luxação de patela (rótula).
A realização desta cirurgia implica a realização pré-cirúrgica de um planeamento cirúrgico baseado num estudo radiográfico.
No estudo realizado são feitas medições de vários ângulos relacionados com o alinhamento do membro posterior. Estes ângulos influenciam a direção sob a qual é exercida força sobre o joelho, podendo conduzir à luxação de patela.
Caso exista uma deformidade angular no fémur, é aconselhada a correção do ângulo em causa através da técnica DFO, para que a patela consiga permanecer alinhada na sua localização anatómica (sulco troclear).
A técnica consiste na realização de dois cortes no osso, para correção do defeito angular, e posterior estabilização dos cortes feitos com recurso a placas e parafusos bloqueados (implantes com um grau de segurança superior).

Qual a taxa de sucesso esperada?
A taxa de sucesso é muito dependente da boa interpretação do estudo radiográfico realizado anterior à cirurgia. Este estudo irá envolver a medicação de ângulos que nos identificam quais os ossos que estão na origem da patologia de luxação.
A taxa de sucesso cirúrgico para resolução da patologia de luxação de patela é de 95%. É considerado sucesso cirúrgico a não re-incidência de patologia e claudicação do paciente consequente desta.
Que complicações podem surgir?
O que é?
PTO (proximal tibial osteotomy) é um procedimento cirúrgico utilizado para correção de deformidades angulares presentes na tíbia.
A realização deste procedimento exige um estudo radiográfico com planeamento cirúrgico anterior ao procedimento cirúrgico. Neste são medidos ângulos relacionados com o alinhamento do membro posterior.
A cirurgia consiste na realização de dois cortes, previamente planeados, na tíbia, seguindo-se a sua estabilização por meio de placa e parafusos bloqueados (estes implantes apresentam um alto grau de segurança na sua utilização).
Dada a versatilidade desta técnica, várias patologias podem ser corrigidas com esta abordagem, nomeadamente luxações de patela e outras deformidades do membro posterior.
Nesta cirurgia também são utilizadas com frequência guias 3D que definem o local de corte com elevada precisão. Estas guias são planeadas a partir de imagem de TAC em softwares de especialidade e seguidamente são produzidas no nosso laboratório 3D, de forma a estarem adaptadas as características individuais de cada paciente.

Qual a taxa de sucesso esperada?
A taxa de sucesso é muito dependente da boa interpretação do estudo radiográfico realizado anterior à cirurgia. Este estudo irá envolver a medicação de ângulos que nos identificam quais os ossos que estão na origem da patologia de luxação.
A taxa de sucesso cirúrgico para resolução da patologia de luxação de patela é de 95%. É considerado sucesso cirúrgico a não re-incidência de patologia e claudicação do paciente consequente desta.
Que complicações podem surgir?
O que é?
A TTT (tibial tuberosity transposition) é uma técnica cirúrgica que pode ser utilizada como componente única ou integrada nos procedimentos necessários para a correção de luxação de patela.
A TTT consiste na realização de um corte ao nível da tíbia que altera a posição do tendão patelar (inserido na tuberosidade tibial).
Ao movimentar esta estrutura vamos alterar o angulo de inserção do tendão patelar e movimentar por consequência a patela (rótula) para a sua posição anatómica (dentro do sulco troclear).
A nova posição que pretendemos que seja assumida pela tuberosidade tibial é fixada por meio de um K-wire (implante cirúrgico).

Qual a taxa de sucesso esperada?
A taxa de sucesso é muito dependente da boa interpretação do estudo radiográfico realizado anterior à cirurgia. Este estudo irá envolver a medicação de ângulos que nos identificam quais os ossos que estão na origem da patologia de luxação.
A taxa de sucesso cirúrgico para resolução da patologia de luxação de patela é de 95%. É considerado sucesso cirúrgico a não re-incidência de patologia e claudicação do paciente consequente desta.
Que complicações podem surgir?
A taxa de complicações está na ordem dos 5%.
O que é a sulcoplastia?
A sulcoplastia consiste numa cirurgia onde são realizados dois cortes no sulco troclear (local onde desliza a patela durante o movimento do joelho) para permitir o aprofundamento deste sulco e recuperação da capacidade de delimitação do movimento da patela.

Qual a necessidade de realização deste procedimento?
A patologia de luxação de patela pode ser provocada por várias deformidades, um conjunto delas é categorizada como incompetência troclear.
A incompetência troclear surge quando a razão da patela não se manter no seu lugar anatómico se deve a alterações na conformação da tróclea. Esta alteração podem surgir desde uma idade muito jovem do animal, quando o paciente apresenta desde o início do seu crescimento um grau de luxação de patela muito elevado, o que faz com que esta passe a maior parte do tempo fora do sulco troclear. Nestes casos o sulco apresenta-se pouco profundo não apresentando capacidade de delimitar o movimento da patela.
As alterações podem também surgir em graus de patologia menos severos, onde existe um movimento constante da patela dentro e fora do sulco. A presença da patologia nestas condições faz com que, no movimento constante de saída da patela, exista um desgaste do osso no limite da tróclea para o lado em que ocorre a luxação, perdendo a capacidade de delimitar o percurso correto da rótula.
Em situações ligeiras, onde não existe dano cartilagíneo, apenas um defeito de conformação, poderá ser aplicada a sulcoplastia para aprofundamento deste sulco troclear, devolvendo assim competência ao sulco.
Qual a taxa de sucesso esperada?
A taxa de sucesso desta cirurgia é bastante elevada. Esta cirurgia corresponde por norma a parte de um tratamento integrado de resolução de luxação de patela, com uma taxa de sucesso associada de 95%.
Que complicações podem surgir?
O que é o PGR?
O PGR (patellar groove replacement) é uma hemi-protese de joelho que corresponde apenas à parte do sulco troclear.
A cirurgia para colocação deste implante consiste na realização de um corte que elimina a estrutura original com alterações patológicas e posterior substituição pelo impante que apresenta as mesmas características que deveria ter um sulco normal.
Este implante é feito em titânio devido às suas características mecânicas que favorecem um movimento articular fluido e devido às suas características biocompatíveis.

Quando é necessária a colocação deste implante?
Em casos onde existam lesões cartilagíneas severas associadas ao sulco troclear (local onde a patela desliza durante o movimento do joelho) a colocação deste implante irá retirar a dor associada a este movimento.
Qual a taxa de sucesso esperada?
A taxa de sucesso desta cirurgia é bastante elevada. Esta cirurgia corresponde por norma a parte de um tratamento integrado de resolução de luxação de patela, com uma taxa de sucesso associada de 95%.
A importância da colocação deste implante surge em casos onde a recuperação da função do animal a 100% é impedida, não pela re-incidência da patologia, mas pela existência de dor no movimento articular.
Que complicações podem surgir?
.O que é?
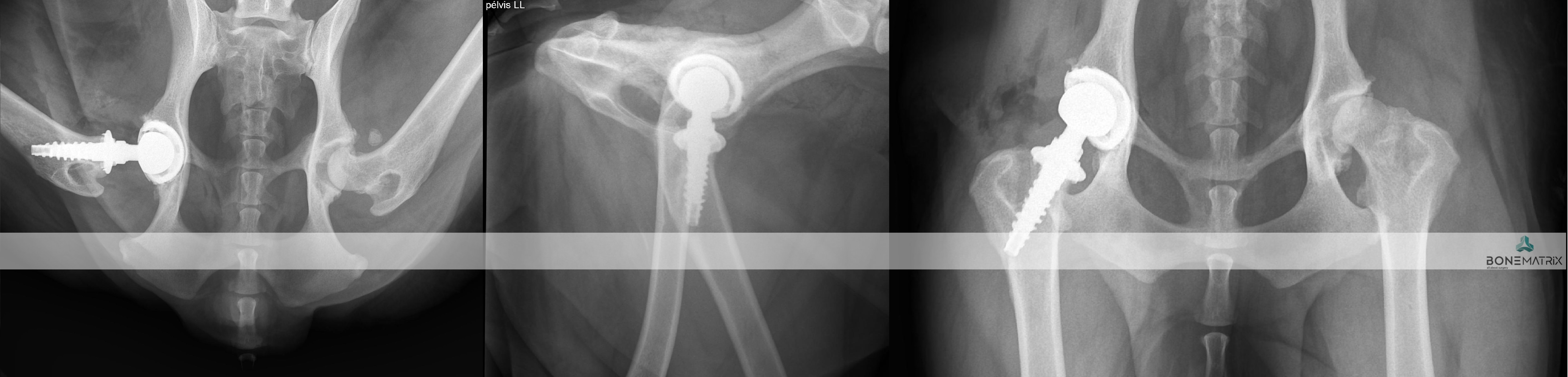
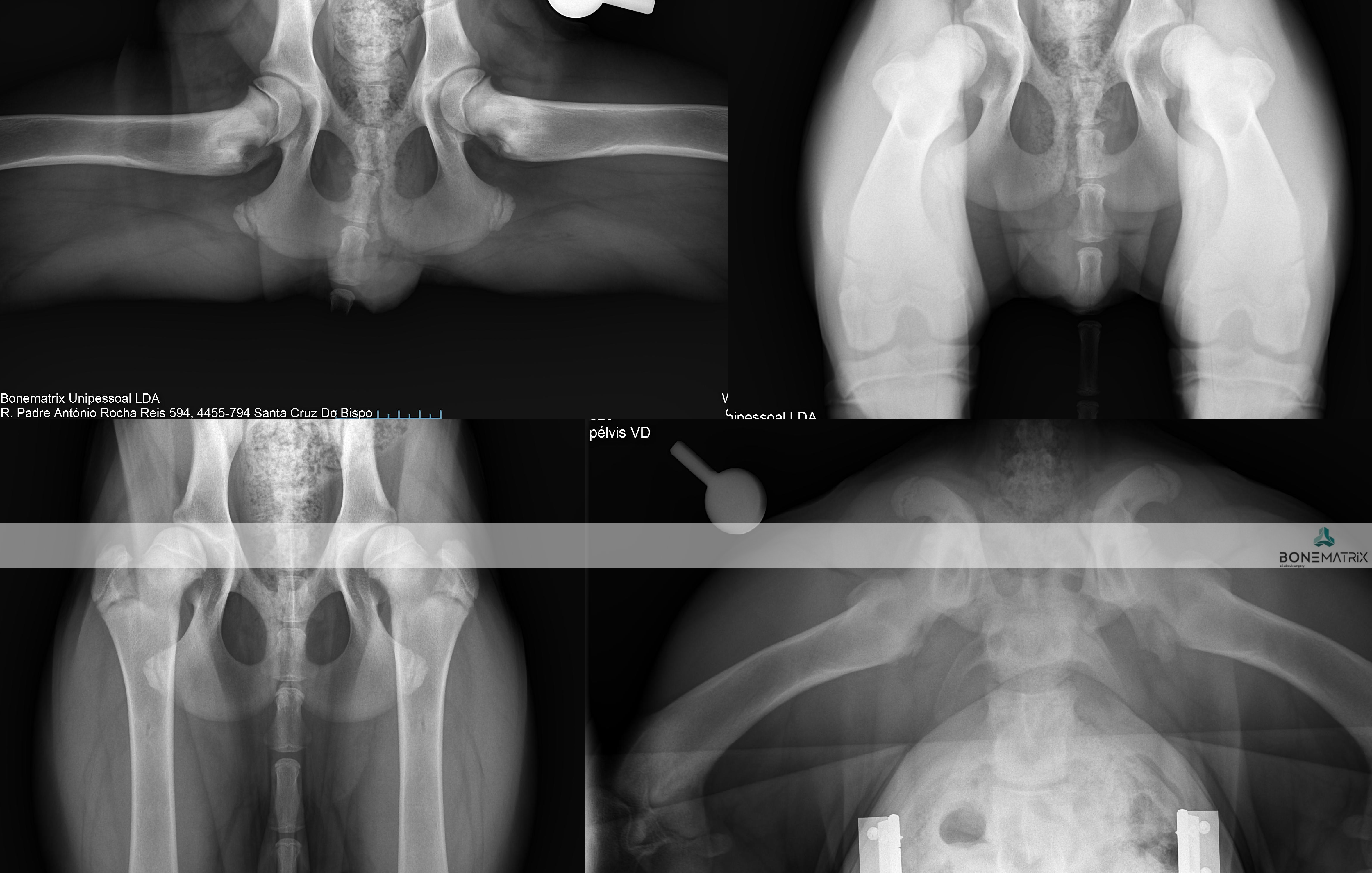
A Prótese Total de Anca (THR - total hip replacement) é um procedimento cirúrgico onde a articulação coxofemoral é completamente substituída por uma nova articulação protésica.
Em medicina humana, esta é a cirurgia de eleição utilizada como tratamento de quadros de osteoartrite severa, apresentando taxas de sucesso extremamente elevadas. Da mesma forma, esta é a solução mais avançada no paciente canino para o tratamento de osteoporose-artrite e displasia de anca, sendo a única capaz de restaurar uma função normal, com normal amplitude e ausência de dor.
Nem todos os pacientes são bons candidatos a THR pelo que os pacientes deverão começar por fazer uma consulta, com estudo radiográfico e avaliação da condição real de cada paciente em particular.
Os pacientes candidatos passam então a uma fase de estudo précirurgico, para que a cirurgia seja planeada com detalhe e se possam escolher a configuração e dimensão de implantes mais adequada.
A cirurgia consiste na eliminação das duas componentes articulares (cabeça femoral e acetábulo) com alterações patológicas e substituição por uma articulação protésica constituída também por duas peças que mimetizam a função da articulação anterior.

Que pacientes são indicados para esta cirurgia?
Qual a taxa de sucesso esperada?
Esta técnica de uma taxa de sucesso de 95%, sendo a taxa de complicações maiores cerca de 10%.
A restrição de exercício no pós operatório assim como a aplicação de uma boa técnica cirúrgica são fundamentais para o outcome cirúrgico.

Quais complicações podem surgir?
A maioria das complicações acontecem nas primeiras semanas de pós-operatório, daí que seja um período de especial atenção com os cuidados pós operatórios.
Porque é necessário a aplicação desta técnica cirúrgica?
DPO (double pelvic osteotomy) é um procedimento preventivo realizado em pacientes onde o despiste de displasia de anca prevê o desenvolvimento desta doença.
Inicialmente deve ser realizado um despiste de displasia de anca com recurso a um estudo radiográfico especifico para que o paciente seja avaliado e seja definido como um bom candidato à aplicação desta técnica.
O que é?
A DPO consiste na realização de dois cortes ao nível da pélvis que permitem a rotação do fragmento criado. Este fragmento inclui a porção articular da pélvis, na articulação coxofemoral (o acetábulo).
Ao rodar este fragmento conseguimos uma maior cobertura da cabeça femoral pelo acetábulo, impedindo o movimento de saída da cabeça femoral de dentro do acetábulo. Ao impedir este movimento (laxitude articular) impedimos o desenvolvimento de lesões de osteoartrite provocada por ele, e desta forma impedimos o desenvolvimento da doença de displasia de anca.
Após rotação do fragmento, este é estabilizado na posição pretendida com recurso a placas bloqueadas especializadas para a realização desta cirurgia, garantindo assim a cicatrização do osso no ângulo previamente definido.
Este procedimento pode ser realizado bilateralmente no mesmo momento cirúrgico.

Quem são os bons candidatos para realização de DPO?
Este procedimento deve ser realizado idealmente aos 5.5 meses daí aí importância dos despiste de displasia de anca serem realizados muito cedo na vida do animal.
Os pontos essenciais que definem um bom candidato são a idade do paciente, desenvolvimento mínimo de osteoartrite a nível articular e presença de um sinal de Ortolani positivo (teste realizado durante a consulta pré-despiste).
Qual a taxa de sucesso esperada?
Após a realização desta cirurgia a claudicação irá resolver-se por norma em 3 meses após a cirurgia.
A taxa de sucesso de aplicação desta técnica é de cerca de 90% onde os paciente apresentam desde uma melhoria significativa até ao retorno à condição normal. Em alguns casos podem ser desenvolvidas alterações de osteoartrite ligeiras, mas por norma não são suficientes para provocar claudicação até que o paciente seja geriátrico.
Este procedimento preventivo é preferido a outras técnicas similares como a TPO por resultar num pós cirúrgico menos doloroso por comparação.
Que complicações podem surgir?
Porque é necessário a aplicação desta técnica cirurgica?
Esta técnica é maioritariamente aplicada em patologia de displasia de cotovelo.
A displasia do cotovelo apresenta várias formas, sendo que todas as apresentações têm em comum a existência de um crescimento assíncrono dos ossos constituintes da articulação.
Este crescimento assíncrono faz com que a ulna, o rádio ou o úmero não estejam perfeitamente posicionados dentro do espaço articular (incongruência articular). Esta incongruência resulta no sobrecarregamento de determinadas zonas dentro do cotovelo. O sobrecarregamento destas zonas provocam o desenvolvimento de lesões na cartilagem.
As lesões cartilagíneas, por si só assim como também por conduzirem ao desenvolvimento de quadros de osteoartrite, podem levar a processos de dor e desconforto bastante debilitantes para o animal.
Inicialmente deve ser realizado um despiste de displasia de cotovelo com recurso a um estudo radiográfico específico para que o paciente seja avaliado e seja definido como um bom candidato à aplicação desta técnica.
O que é a PLUS?
A PLUS (Petazzoni longitudinal ulnar slidding) é uma cirurgia realizada com o intuito de recuperação de congruência a nível articular, no cotovelo.
Esta cirurgia consiste na realização de um corte com características especificas na ulna que permite a sua movimentação deste osso e reajuste da sua posição dentro da articulação do cotovelo.

Quem são os bons candidatos?
Esta cirurgia pode ser aplicada em qualquer paciente com incongruência do cotovelo.
Contudo pela comparação com técnicas com o mesmo objetivo e pela capacidade de adaptação óssea característica de animais mais jovens, é expectável que os melhores resultados sejam conseguidos em pacientes que ainda não tenham completado o seu crescimento.
Que taxa de sucesso é esperada?
Esta é uma técnica inovadora e como tal ainda não apresenta um grau de previsão cientifica dos resultados esperados que seja reportável.
Contudo os nossos resultados são bastante animadores em relação ao outcome alcançado.
Por comparação com outras técnicas realizadas também no CCVA com o mesmo objetivo, como a osteotomia bi-oblíqua da ulna, até ao momento, a PLUS é a técnica que demonstra maior recuperação da congruência articular e por consequência evidência mais extrema de recuperação da qualidade de vida do paciente.
Quais as complicações que podem surgir?
O que é?
A PAUL (proximal abducting ulnar osteotomy) é uma técnica cirurgica empregue quando existe doença do compartimento medial.
A cirurgia consiste num corte realizada ao nível do osso da ulna que permite a criação de um deslocamento do osso lateralmente. Esta nova posição do osso é estabilizada com recurso a placas bloqueadas (que conferem elevada segurança ao procedimento) que são especificas para esta cirurgia, conservando a forma do desvio criado pelo corte.
O objetivo desta cirurgia é retirar grande parte do peso do animal, durante o apoio, da região lesionada do cotovelo. Desta forma permitimos que o estimulo ofensivo sobre a articulação deixe de ser exercido sobre esta área e continue a aumentar a lesão.
Este procedimento tem também por objetivo dar conforto ao animal, porque a retirada do peso desta zona, vai permitir um alivio da dor sentida pelo paciente na articulação.

Este procedimento é curativo?
Este procedimento poderá ajudar a tornar o cotovelo mais congruente e desta forma resolver parte do problema existente. A cartilagem é um tecido com pouca capacidade regenerativa por isso o facto de retirarmos o estimulo ofensivo da região não irá resultar num retorno deste tecido a um estado saudável apenas cessará o desenvolvimento das lesões.
O meu animal vai desenvolver artrose nesta articulação?
As lesões de osteoartrite desenvolvidas não serão recuperadas por isso quadros de osteoartrite vão manter-se mas terão um desenvolvimento mais lento da patologia pela melhoria da congruência articular.
Qual a taxa de sucesso esperada?
Esta cirurgia apresenta alta taxa de sucesso no sentido da retirada de peso do compartimento medial da articulação. Apesar da melhoria evidente na maioria dos casos, também é comum que a recuperação do conforto articular não seja de 100% devido às lesões concorrentes existentes na articulação.
Quais as complicações que podem surgir?
O que é?
A artrodese é uma técnica cirúrgica usada como procedimento de salvage em situações onde não é possível restabelecer a função de uma articulação.
O objetivo desta cirurgia é eliminar a dor articular, estabilizando todos os ossos constituintes da articulação, num ângulo pré-definido. A dor é eliminada pela eliminação do movimento, ou seja, a função articular desaparece e os ossos deixam de se movimentar uns sobre os outros.
A cirurgia consiste na remoção da cartilagem entre os ossos constituintes de uma articulação e colocação de um enxerto ósseo (retirado por norma do ombro do animal) entre os espaços articulares criados. Seguidamente a articulação é estabilizada com recurso a placa e parafusos bloqueados. Por fim o osso irá desenvolver-se entre os espaços onde outrora existia cartilagem e irá, funcionalmente, funcionar como um osso só, eliminando a função articular.

Qual a taxa de sucesso esperada?
A taxa de sucesso desta cirurgia é muito elevada no sentido de cumprimento do objetivo de cirurgia. Outros fatores tem de ser tomados em consideração relativamente ao outcome como resolução cirúrgica, dependendo este da patologia primária.
Quais as complicações que podem surgir?
A traumatologia é o campo da cirurgia ortopédica que se dedica ao estudo e reparação de fracturas ósseas. Esta área de especialidade foi a base do nosso “case load" durante quase 10 anos.
Apresentamos uma vasta experiência na resolução destes casos com excelentes resultados.
No centro de cirurgia avançada abordamos qualquer tipo de casos de traumatologia, desde fraturas simples às mais complexas.
Em baixo poderá consultar algumas das técnicas realizadas neste tipo de casos, desde abordagens convencionais até às soluções mais extremas de salvamento do membro.
O que é?
A CCF é uma cirurgia empregue para resolução de uma variedade de patologias do foro traumático e ortopédico.
Esta cirurgia consiste no corte da cabeça femoral que articula com a pélvis.
A sua complexidade cirúrgica exige um nível básico de conhecimentos de cirurgia ortopédica/traumatológica.

Quando é aplicada esta técnica cirúrgica?
Esta cirurgia pode ser empregue em vários casos, podendo ser incluídas neste grupo:
Qual a taxa de sucesso esperada?
A baixa complexidade da cirurgia aliada às capacidades cirúrgicas dos nossos cirurgiões permitem-nos que este procedimento seja realizada com resultados consistentes de sucesso, sendo pontual, a ocorrência de complicações na aplicação da técnica.
Contudo o sucesso da cirurgia na resolução do problema primário está associado à patologia em causa (mais do que à correta realização do procedimento). Por este motivo é variável e caso-específica a capacidade que este procedimento demonstra como solução da patologia.
Que complicações podem surgir?
O que é?
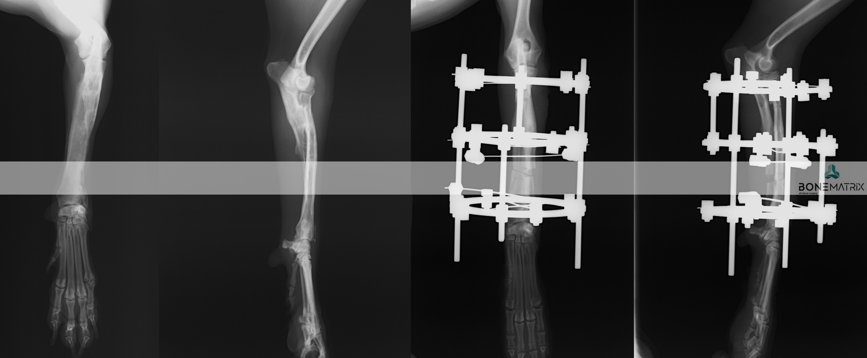
Os fixadores externos consiste num método de estabilização de fraturas que por norma evita que seja realizada uma exposição aberta do foco de fratura.
Existem várias configurações que poderão ser realizadas com fixadores externos, variando de acordo com o tipo de fratura e o osso fraturado.
Por norma, nas configurações lineares, são utilizados K-wires e barras para fazer a estabilização externa.
Estes sistemas aplicados vão atravessar o osso em determinados pontos (por meio de K-wires) de forma a conseguir uma estabilização da fratura quando a sua posição é fixada às barras (implante de maior diâmetro que interseta os K-wires perpendicularmente).
A complexidade da aplicação desta técnica de estabilização está relacionada com o tipo de fratura/patologia onde a técnica é empregue, variando desde nível básico a mestre de conhecimento e capacidades cirúrgicas de trauma e ortopedia.

Quando é aplicada esta técnica cirúrgica?
Esta técnica cirúrgica pode ser empregue em vários casos, podendo ser incluídas neste grupo:
Quais as vantagens que este método de estabilização apresenta?
Quais as desvantagens que este método de estabilização apresenta?
Qual a taxa de sucesso esperada?
Como esta solução de estabilização só é aplicada em casos onde se conclua que poderá ser bem sucedida no objetivo de estabilização de fratura por norma tem alta taxa de sucesso.
Contudo ressalvamos que, excetuando casos muito específicos, esta não é a técnica mais segura ou cómoda que oferecemos. Por isso deve ser utilizada apenas em casos onde exista um compliance grande por parte do tutor que garanta a capacidade de cumprimento dos cuidados pós operatórios.
Que complicações podem surgir?
O que é?
Os fixadores externos circulares e semi-circulares consistem num método de estabilização de fraturas que por norma evita que seja realizada uma exposição aberta do foco de fratura. Esta técnica só é utilizada em casos de fraturas muito específicos. É mais frequente a sua utilização como método de correção de deformidades angulares.
Esta técnica consiste num método de estabilização externo ao corpo do animal. São utilizadas para a sua aplicação: K-wires, barras e anéis com diferentes formas.
A utilização desta técnica envolve um nível avançado ou mestre de conhecimento cirúrgico de ortopedia e traumatologia (consoante o objetivo da sua utilização).

Quando é aplicada esta técnica cirúrgica?
Esta técnica cirúrgica pode ser empregue em vários casos, podendo ser incluídas neste grupo:
Qual a taxa de sucesso esperada?
O sucesso da aplicação desta técnica cirúrgica está relacionada com a complexidade da resolução pretendida.
Que complicações podem surgir?
O que é?
As placas de síntese são sistemas de fixação interna aplicados sob o foco de fratura com o intuito de conseguir a estabilização necessária para que ocorra a cicatrização óssea.
Existem várias placas de síntese dentro dos diferentes sistemas.
Esta técnica envolve a utilização de placas e parafusos para estabilização.
Existem dois sistemas principais de placas que podem ser aplicados em fraturas com diferentes características, o sistema DCP (placa de compressão dinâmica) e o sistema locking (placas bloqueadas).
O sistema locking é um sistema muito mais versátil, capaz de conseguir a mesma segurança na estabilização, de qualquer caso onde possa ser aplicado uma placa DCP. Já o contrário não se passa. Existem fraturas que pelas suas características é aconselhada a preferência por uma placa locking, por apresentarem uma segurança superior.
As placas também podem ser características da correção de fraturas em determinados locais, ou poderão ser especialmente concebidas para a estabilização num único tipo de procedimento cirúrgico.

Quais as vantagens de uma placa locking?
Quando é aplicada esta técnica cirúrgica?
A estabilização interna é aconselhada na maioria das fraturas. Excetuando aquelas que tenham um potencial de contaminação superior, onde a segurança do procedimento é melhor garantida por um sistema de fixação externa.
Qual a taxa de sucesso esperada?
O sucesso da aplicação desta técnica cirúrgica está relacionada com a complexidade da resolução pretendida.
Por comparação, a aplicação de placas locking está associada a uma maior taxa de sucesso do que a aplicação de placas DCP.
Sendo que na maioria dos casos ambos os sistemas são preferíveis à estabilização com fixadores externos.
Que complicações podem surgir?
O que é?
As bandas de tensão são um método de estabilização de fraturas utilizado onde existem grandes forças de tensão a atuar, ou seja, onde o movimento dos músculos, vai tender para afastar o fragmento criado.
Esta técnica tem por objetivo transformar esta força de tensão na força contrária contribuindo assim para a estabilização e cicatrização da fratura.
Para a realização desta técnica são utilizados K-wires e cerclage (fio ortopédico).
A complexidade da aplicação desta técnica cirúrgica a maioria das vezes compreende um nível básico de conhecimentos de cirurgia ortopédica e traumatologia. Contudo estes casos podem tornar-se bastante desafiantes conforme o porte do paciente (mais pequeno) ou o tamanho e localização dos fragmentos, sendo nestes casos necessário um nível de formação avançada.

Quando é aplicada esta técnica cirúrgica?
Esta técnica é aplicada em várias situações onde existem forças de tensão importantes a atuar sobre o foco de fratura, destes casos fazem parte:
Qual a taxa de sucesso esperada?
O sucesso da aplicação desta técnica cirúrgica está relacionada com a complexidade da resolução pretendida e capacidade técnica do cirurgião.
Que complicações podem surgir?
O que é?
As fraturas articulares podem ser estabilizadas com recurso aos mais diferentes sistemas de estabilização ou a uma combinação entre estes.
A complexidade das fraturas articulares está associada à capacidade de fazer uma perfeita redução anatómica (devolver a forma normal do osso). Por este motivo estas fraturas constituem frequentemente um trabalho onde é necessário um nível de conhecimento avançado em técnicas cirúrgicas de ortopedia e traumatologia para que se consiga um um bom outcome cirúrgico.

O que acontece se não for conseguida a perfeita redução anatómica dos fragmentos numa fratura articular?
Isto pode resultar em casos mais ou menos limitantes conforme nos afastamos daquilo que constitui a redução anatómica perfeita.
Um mínimo defeito nesta redução frequentemente resulta no desenvolvimento de um processo de osteoartrite no futuro do animal.
A severidade deste processo esta relacionado com a falha mínima ou grosseira da reconstrução.
Caso o defeito seja evidente o animal poderá também desenvolver desde o pós cirúrgico imediato um processo de dor crónico que será mais ou menos limitante conforme nos afastamos da redução perfeita.
Qual a taxa de sucesso esperada?
O sucesso da aplicação desta técnica cirúrgica está relacionada com a complexidade da resolução da fratura e capacidade técnica do cirurgião.
É frequente que a longo prazo se desenvolva um grau de osteoartrite ligeiro na articulação.
Que complicações podem surgir?
O que é?
As fraturas de placas de crescimento podem ser estabilizadas com recurso aos mais diferentes sistemas de estabilização ou a uma combinação entre estes.
A placa de crescimento consiste no local pelo qual o osso faz o seu crescimento longitudinal quando o cão está em crescimento.
As lesões associadas a placas de crescimento num animal jovem resultam com frequência em deformidades angulares dos membros, especialmente se a técnica cirúrgica não levar em consideração esta característica do animal.
As técnicas cirúrgicas empregues tem sempre de considerar o potencial de crescimento do animal e consistir na aplicação de técnicas que não vão interferir com este, ou então num caso onde não possa ser evitado o recurso a osso de técnicas que interferem, deverá retirar-se o mais cedo possível (assim que garantida a cicatrização) estes mecanismos que bloqueiam o crescimento do osso num determinado sentido, com o intuito de não provocar uma deformidade angular iatrogénica.
A complexidade destas cirurgias é variável, existindo métodos de estabilização que necessitam apenas de um conhecimento básico sobre técnicas cirúrgicas de ortopedia e traumatologia, até aos casos onde esta resolução exige um conhecimento avançado.

O que acontece se houver uma má escolha do sistema de estabilização na fratura de um animal em crescimento?
Se o potencial de crescimento do osso não for tido em consideração, ao bloquearmos a placa de crescimento na face do osso em que aplicamos o método de estabilização, estamos a potenciar a formação de uma deformidade angular no sentido contrário, pela impossibilidade de um crescimento equilibrado nesse osso.
Poderá mesmo assim existir uma deformidade angular quando existe uma fratura de placa de crescimento?
Sim, existem lesões que impedem a proliferação celular em determinada parte da placa de crescimento ou na sua totalidade. Se esta lesão tiver ocorrido, o crescimento longitudinal do osso já não se fará nessa placa.
Existe só uma placa de crescimento no osso?
Não, o osso apresenta sempre, pelo menos 2 placas de crescimento. Cada uma destas placas é responsável por uma percentagem diferente de crescimento do osso. Este é o motivo pela qual esta lesão poderá ser mais grave quando ocorre numa determinado placa de crescimento por comparação com outras.
Qual a taxa de sucesso esperada?
O sucesso da aplicação desta técnica cirúrgica está relacionada com a complexidade da resolução da fratura e capacidade técnica do cirurgião.
A taxa de sucesso aumenta, quanto mais próximo estamos do período em que o animal atinge a idade adulta.
Que complicações podem surgir?
O que é?
Os métodos de imobilização externa utilizados com maior frequência são uso de pensos e talas para estabilização de fraturas.
A estabilização conseguida por estes métodos por norma é bastante inferior a qualquer um dos outros sistemas utilizados, por isso o seu uso só deverá ser realizado em casos muito específicos onde não é necessária uma rigidez mais consistente do método de estabilização.

Quando não devem ser usados métodos de estabilização externa para estabilização de fraturas?
Por defeito o uso a talas ou pensos em animais em crescimento constitui um erro. Estes animais apresentam um potencial de crescimento muito grande e a utilização de talas origina com frequência deformidades angulares nos membros, com resolução mais ou menos complexas, existindo casos de complexidade de resolução extrema criados pela má utilização destes métodos nesta fase.
Quando devem ser utilizados métodos de estabilização externa para estabilização de fraturas?
Este constitui uma boa prática na maioria de fraturas, entre o momento da entrada do animal no centro veterinário que presta o primeiro serviço, e o momento de realização da cirurgia. Neste caso a aplicação de pensos estabilizadores vai impedir que se agravem as lesões nos tecidos moles adjacentes e vai também proporcionar um maior grau de conforto ao paciente.
Qual a taxa de sucesso esperada?
O sucesso da aplicação desta técnica cirúrgica está relacionada com a boa prática na sua aplicação.
Que complicações podem surgir?
O centro de cirurgia veterinária avançada apresenta também como área de especialidade a neurocirurgia.
Este é um exigente campo da cirurgia, que exige treino avançado, muita experiência cirúrgica, equipamento de ponta e nervos de aço.
Dentro desta especialidade existem vários procedimentos cirúrgicos que realizamos com grande frequência. Algumas destas cirurgias são abaixo descritas.
O que é?
Estas são as cirurgias realizadas para resolução de patologias de hérnia discal. Através destas técnicas é criado um espaço (designado por janela), que serve para permitir a descompressão medular. Esta descompressão é conseguida de duas formas, por um lado retiramos uma porção de osso, que é um tecido rígido sem capacidade de deformar quando a medula é “empurrada” contra este, permitindo assim a movimentação da medula espinal no local onde existe compressão, e por outro lado a abertura dessa janela permite-nos aceder à hérnia e retirá-la de dentro do canal vertebral, deixando de haver material discal a provocar a compressão da medula espinal.
Estas cirurgias implicam a realização de um estudo de TAC ou RM anterior à intervenção para que possa ser planeada a intervenção cirúrgica consoante as características da hérnia.
Qual a diferença entre as técnicas referidas?
A diferença entre os procedimento de ventral slot, hemilaminectomia e laminectomia dorsal está na localização do acesso cirurgico realizado e na localização da janela criada.
A ventral slot é a abordagem realizada para a resolução de hérnias discais cervicais. Nesta técnica o acesso é ventral e a janela é também esta ventral.
A hemilaminectomia é a abordagem realizada em hérnias discais toraco-lombares. Nesta técnica o acesso é dorsal e a janela é criada no lado onde se encontra a maioria do material discal herniado, facilitando desta forma a sua remoção.
A laminectomia dorsal é a abordagem realizada em hérnias discais lombosagradas. Nesta o acesso é dorsal e a janela aberta é também esta dorsal ás vertebras.

Qual a taxa de sucesso esperada?
O prognóstico é dependente da condição neurológica pré operatória do paciente.
Se o paciente apresentar sensibilidade nos membros afetados anteriormente à cirurgia, a taxa de sucesso relativamente à capacidade ambulatória do animal após cirurgia é de 90%. A velocidade com que os cães recuperam a capacidade ambulatória varia de animal para animal.
A maioria dos animais submetidos a este procedimento, 3 a 6 semanas após cirurgia já apresenta capacidade de andar. Contudo existem alguns casos onde a melhoria da componente neurológica do animal não é visível imediatamente mas passado um mês ocorre uma melhoria bastante rápida. A capacidade de recuperação das funções neurológicas ocorre de forma continua até aos 6 a 9 meses após cirurgia. Passado este período, o status neurológico alcançado corresponde à capacidade máxima de recuperação neurológica do paciente.
Os animais que não apresentam sensibilidade profunda nos membros apresentam um prognóstico mais pobre, sendo possível que não recuperem a capacidade ambulatória. Contudo os animais sem sensibilidade que são submetidos a cirurgia nas 12H após a perda de sensibilidade têm 50 a 75% de hipóteses de recuperar a mobilidade.
Que complicações podem surgir?
O que é?
A fusão vertebral é uma cirurgia que pode ser aplicada na resolução de várias patologias do foro neurológico, como exemplo a instabilidade atlanto-axial e a síndrome de cauda equina.
Esta cirurgia tem por objetivo fazer uma estabilização/união entre duas vertebras.
A cirurgia consiste na retirada de cartilagem (componente articular) entre duas vertebras e posterior ocupação deste espaço por osso esponjoso autólogo (osso retirado do ombro do paciente, que após o procedimento se irá regenerar). Este osso vai promover a união entre as duas vertebras em causa.
Adicionalmente a este procedimento é seguidamente estabilizado o segmento vertebral com recurso a placas e parafusos, para impedir o movimento entre estas estruturas e possibilitar assim a união entre elas.

Qual a taxa de sucesso esperada?
O prognóstico é dependente da condição neurológica pré operatória do paciente.
Por norma existe uma melhoria evidente dos sinais neurológicos exibidos pelo paciente (inclusivamente da dor).
Esta é uma cirurgia curativa na maioria dos casos. Apenas não o será naqueles pacientes onde existam lesões neurológicas concomitantes e irreversíveis. Contudo o seu objetivo de estabilização vertebral consequência da união vertebral é alcançada em 95% dos casos.
Que complicações podem surgir?
No centro de cirurgia avançada trabalhamos em parceria com especialistas na área de oncologia para podermos fazer um acompanhamento completo dos casos cirúrgicos que nos encontram.
Aqui poderá encontrar algumas das soluções aplicadas a pacientes nossos que permitiram salvar o membro ou mimetizar a sua função, tendo sempre presente a especificidade do tumor e criação de condições de segurança que evitem recidivas.
.O que são técnicas de limb sparing?
Limb sparing são um conjunto de técnicas cirúrgicas realizadas no sentido de salvar um membro ou parte dele quando existe indicação de amputação.
As patologias que podem levar à indicação de amputação podem ser de origem oncológica, traumática ou ortopédica/neurológica.
Uma das técnicas utilizadas com recorrência para evitar a amputação total do membro é a ITAP (intraosseous transcutaneous amputation prosthesis).
Quais os pacientes adequados para aplicação de técnicas de limb sparing?
As técnicas de limb sparing são excelentes opções para cães de porte grande, pesados ou para os pacientes onde a qualidade de vida é muito afetada pela amputação, são exemplos destes casos, animais que já tem um membro amputado ou que apresentam co-morbilidades que afetam a sua capacidade neurológica ou ortopédica.
O que é a ITAP?
A ITAP é uma exo-endoprotese utilizada em amputações baixas de membro para restituição de capacidade funcional do membro.
Estas próteses apresentam um processo de produção customizado para cada paciente.
Inicialmente é requerido um estudo de TAC para que possa ser projetada a ITAP com capacidade de ter sucesso na sua função conforme as características individuais de cada paciente.
O processo segue depois para a produção da prótese. Esta é produzida em titânio devido às características mecânicas ideais deste material e devido à sua biocompatibilidade.
Com frequência a realização destas cirurgias envolve também a projeção de guias especificas para o paciente em estudo, desenvolvidas no nosso laboratório 3D. Estas vão permitir o aumento da precisão de dos cortes realizados durante a cirurgia.
A ITAP é uma prótese constituída por 3 componentes, uma interna que é introduzida dentro do osso acima da amputação, uma segunda componente que serve de interface entre a primeira e a que contacta com o solo, sendo este pé a terceira componente.
O desenvolvimento da prótese com estas 3 componentes favorece a sua segurança no sentido em que diminui a possibilidade de complicações (como fratura do implante) nas zonas mais críticas (a porção internalizada no osso).
Dependendo de cada caso, a componente inserida no osso pode ser estabilizada através de um sistema de press fit, através de parafusos bloqueados ou da através da utilização de ambos.
A componente mais externa (o pé) é produzido com materiais também estes adaptados ao peso do paciente, anatomia e estudo cinético, de forma a conseguir aproximar o mais possível as características do sistema às do membro real do paciente.

Qual a taxa de sucesso esperada?
A maioria dos pacientes onde aplicamos a técnica cirúrgica de ITAP apresentam patologias oncológicas.
Até ao momento, temos uma taxa de sucesso de 100%, considerando sucesso a adaptação do paciente ao implante protésico e a demonstração de uma boa capacidade de locomoção.
Que complicações podem surgir?
O que é?
A excisão cirúrgica corresponde à retirada da massa tumoral presente no animal.
Na abordagem primária do caso, trabalhamos em conjunto com especialista oncológicos externos às instalações, para conseguir partir para cirurgia com o conhecimento necessário para tornar a cirurgia eficaz. De acordo com o conhecimento destes podemos fazer uma abordagem integrada à patologia, considerando as suas características histopatológicas e estadiamento da lesão para podermos definir o plano cirúrgico a realizar.
A realização desta excisão corresponde muitas vezes ao emprego de técnicas de cirurgia reconstrutiva para o encerramento do espaço criado.

Qual a taxa de sucesso esperada?
É esperado com a realização deste procedimento que a lesão seja retirada de uma forma efetiva não recidivando no mesmo local.
Contudo a taxa de sucesso do procedimento realizado definindo-o como paliativo ou curativo está associada à natureza tumoral.
Que complicações podem surgir?
A radiologia é uma das ferramentas diagnósticas mais importantes na especialidade de ortopedia. Esta técnica de exame complementar, é acessível à maioria dos centros veterinários e capacita-nos da confirmação de vários diagnósticos ortopédicos/neurológicos.
No centro de cirurgia avançada existe uma equipa de profissionais com formação especializada e consolidada por vários anos de experiência na realização deste tipo de exame complementar.
Estamos equipados com dois aparelhos de radiologia digital directa, de última geração, para utilização no bloco de cirurgia e na sala de radiologia.
Aqui poderá encontrar informações relativas aos serviços prestados com maior frequência recorrendo a esta técnica de exame complementar de diagnóstico.
Em que consiste este despiste?
Este exame complementar de diagnóstico consiste na realização de um estudo radiográfico que define a probabilidade de desenvolvimento de displasia de anca no paciente.
Anteriormente a realização do estudo radiográfico é realizada uma consulta pré-estudo onde é feito um exame ortopédico no paciente, é observada a sua marcha e são retirados todos os dados clínicos necessários à completa abordagem do caso.
Após realização do estudo radiográfico é emitido um relatório de opinião com os dados recolhidos no estudo e abordagem aconselhada ao caso.

Quando deverá ser feito o despiste de displasia de anca?
O despiste de displasia de anca deve ser realizado entre os 4 e os 5 meses de todos os cães, como medida inclusa nos cuidados de saúde primários necessários do cachorro.
A importância da realização deste estudo em tão jovem idade prende-se com o facto de conseguirmos alcançar uma janela de oportunidade de resolução do caso com procedimentos preventivos. Isto porque uma vez que a doença seja detetada apenas em idade adulta, estaremos muito limitados às abordagens curativas desta patologia.
O resultado poderá ser submetido às entidades oficiais para oficialização do resultado?
O relatório produzido pelo CCVA é um relatório de parecer clínico que não está relacionado com a apreciação das entidades oficiais.
As radiografias necessárias à emissão de certificação oficial também estão incluídas no estudo radiográfico realizado pelo CCVA e poderão ser submetidas como serviço extra à entidade oficial para certificação de ausência ou grau da patologia.
Que procedimentos poderão ser realizados se o meu cão apresentar displasia de anca?
O relatório emitido pelo CCVA apresenta a abordagem aconselhada à patologia apresentada para cada animal.
Se as características individuais estudadas do seu cachorro o definirem como um bom candidato a cirurgia preventiva de desenvolvimento da patologia, poderá ser aconselhado que o animal faça uma double pelvic osteotomy.
Caso o seu animal seja adulto e a patologia for detetada no paciente as opções curativas resumem-se à prótese total de anca, onde toda a articulação é substituída por uma articulação implantada.
Quais os riscos associados à realização deste processo?
Em que consiste este despiste?
Este exame complementar de diagnóstico consiste na realização de um estudo radiográfico que define a probabilidade de desenvolvimento de displasia de cotovelo no paciente.
Anteriormente a realização do estudo radiográfico é realizada uma consulta pré-estudo onde é feito um exame ortopédico no paciente, é observada a sua marcha e são retirados todos os dados clínicos necessários à completa abordagem do caso.
Após realização do estudo radiográfico é emitido um relatório de opinião com os dados recolhidos no estudo e abordagem aconselhada ao caso.

Quando deverá ser feito o despiste de displasia de cotovelo?
O despiste de displasia de cotovelo deve ser realizado entre os 4 e os 5 meses de todos os cães, como medida inclusa nos cuidados de saúde primários necessários do cachorro.
A importância da realização deste estudo em tão jovem idade prende-se com o facto de conseguirmos alcançar uma janela de oportunidade de resolução do caso com procedimentos preventivos.
O resultado poderá ser submetido às entidades oficiais para oficialização do resultado?
O relatório produzido pelo CCVA é um relatório de parecer clínico que não está relacionado com a apreciação das entidades oficiais.
As radiografias necessárias à emissão de certificação oficial também estão incluídas no estudo radiográfico realizado pelo CCVA e poderão ser submetidas como serviço extra à entidade oficial para certificação de ausência ou grau da patologia.
Que procedimentos poderão ser realizados se o meu cão apresentar displasia de cotovelo?
O relatório emitido pelo CCVA apresenta a abordagem aconselhada à patologia apresentada para cada animal.
Se as características individuais estudadas do seu cachorro o definirem como um bom candidato a cirurgia preventiva de desenvolvimento da patologia, poderá ser aconselhado que o animal faça uma ostectomia distal da ulna, uma ostectomia bi-obliqua ou uma PLUS.
Caso o seu animal seja adulto e a patologia for detetada no paciente as opções cirúrgicas serão a PLUS ou a PAUL (em caso de apresentação de doença do compartimento medial).
Com o objetivo de adereçar as lesões cartilagíneas encontradas na articulação poderá ser recomendada a realização de artroscopia (para desbridamento destas lesões).
Caso esta patologia esteja na origem da fragmentação do processo coronóide esta também será abordada por via artroscópica, onde se poderá retirar o fragmento resultante ou fazer em casos necessários uma coronoidectomia sub-total.
Nesta patologia a abordagem cirúrgica será muito direcionada ao quadro patológico e lesões consequentes, apresentado pelo paciente.
Quais os riscos associados à realização deste processo?