Please enable JS

TPLO - Tibial plateau leveling osteotomy

TPLO - Tibial plateau leveling osteotomy

19 de enero de 2022

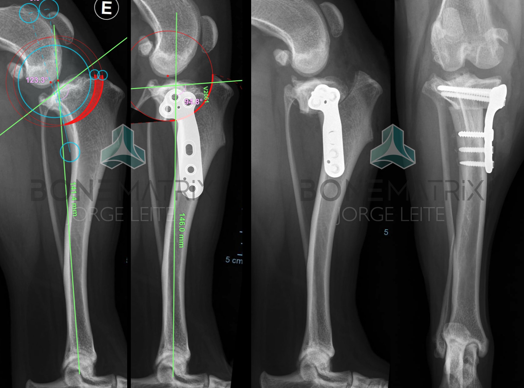
La TPLO es una cirugía extremadamente versátil que puede/debe sufrir adaptaciones y matices dependiendo de la anatomía tibial.

Una TPA alta alguna vez fue un criterio para no realizar esta técnica en su forma clásica.

Compartimos dos ejemplos con casos de hoy en los que se usaron dos soluciones diferentes para estabilizar rodillas con alto TPA.

En el primero, el uso de una placa L FIXIN (V2007) que permite estabilizar un fragmento de forma segura, a pesar del alto efecto contrarreloj que aparece tras la rotación.

En la segunda rodilla, el uso de un TPLO "doble corte", para obtener una corrección adecuada, con una menor rotación. En este segundo caso se utilizó una placa Clover Fixin V2063.